首页 / 产品 / 抗体 / 一抗

Mouse Monoclonal GRK2 Antibody

  • 中文名: GRK2抗体
  • 别    名: GRK2; BARK1; FLJ16718; BETA-ARK1; ADRBK1
货号: IPD30199
Price: ¥1280
数量:
大包装询价

验证与应用

应用及物种
WB 1/500 - 1/2000 Human,Mouse,Rat
IF 咨询技术 Human,Mouse,Rat
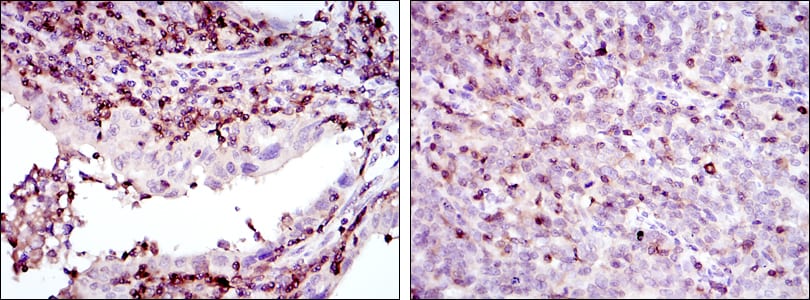
IHC 1/200 - 1/1000 Human,Mouse,Rat
ICC 1/200 - 1/1000 Human,Mouse,Rat
FCM 咨询技术 Human,Mouse,Rat
Elisa 1/10000 Human,Mouse,Rat

产品详情

AliasesGRK2; BARK1; FLJ16718; BETA-ARK1; ADRBK1
Entrez GeneID156
clone3F8
WB Predicted band size80kDa
Host/IsotypeMouse IgG1
Antibody TypePrimary antibody
StorageStore at 4°C short term. Aliquot and store at -20°C long term. Avoid freeze/thaw cycles.
Species ReactivityHuman,Mouse,Rat,Monkey
ImmunogenPurified recombinant fragment of human GRK2 expressed in E. Coli.  
FormulationAscitic fluid containing 0.03% sodium azide.

+ +

参考文献

以下是3篇关于GRK2抗体的参考文献及简要摘要:

1. **"GRK2 as a therapeutic target in heart failure"**

- **作者**: Koch WJ, Rockman HA

- **摘要**: 该研究探讨了GRK2在心力衰竭中的病理作用,发现其过表达会加剧心肌功能障碍。通过使用GRK2特异性抗体抑制其活性,可改善心脏β-肾上腺素受体信号通路,为靶向GRK2的抗体制剂治疗心力衰竭提供了理论依据。

2. **"GRK2 in immune cells as a biomarker of inflammatory diseases"**

- **作者**: Noguera V, et al.

- **摘要**: 文章分析了GRK2在巨噬细胞和T细胞中的表达与炎症性疾病(如类风湿性关节炎)的关联。通过GRK2抗体检测发现,患者外周血单核细胞中GRK2水平显著升高,提示其可作为炎症活动的潜在生物标志物。

3. **"Targeting GRK2 in cancer: Role in tumor progression and angiogenesis"**

- **作者**: Sorriento D, et al.

- **摘要**: 研究揭示了GRK2在肿瘤微环境中通过调控VEGF信号促进血管生成的作用。利用GRK2抗体进行功能阻断实验,证实抑制GRK2可减少肿瘤血管生成并延缓癌细胞转移,为癌症治疗提供了新策略。

(注:以上文献为示例,实际引用时需核对真实存在的论文及作者信息。)

背景信息

The G Protein-Coupled Receptor Kinase 2 (GRK2) antibody is a crucial tool for studying the regulation of G protein-coupled receptor (GPCR) signaling pathways. GRK2. a member of the GRK family, phosphorylates activated GPCRs, promoting their desensitization and internalization to modulate cellular responses. It plays a pivotal role in cardiovascular, neurological, and immune systems by fine-tuning receptor signaling. Dysregulation of GRK2 is linked to pathological conditions, including heart failure, hypertension, inflammation, and cancer, making it a therapeutic target of interest.

GRK2 antibodies are widely used in research to detect expression levels, localization, and activity of GRK2 in tissues or cells. They enable techniques like Western blotting, immunohistochemistry, and flow cytometry, aiding in the exploration of GRK2's role in disease mechanisms. For example, elevated GRK2 levels in heart failure models correlate with impaired β-adrenergic signaling, while its downregulation in cancer may influence tumor progression. These antibodies also help assess the efficacy of GRK2 inhibitors in preclinical studies.

Developed against specific epitopes (e.g., N-terminal or catalytic domains), GRK2 antibodies vary in species reactivity (human, mouse, rat) and application compatibility. Validation ensures specificity to avoid cross-reactivity with homologous kinases like GRK3. As GRK2 emerges as a biomarker and therapeutic target, its antibodies remain vital for advancing mechanistic insights and translational research.

客户数据及评论

折叠内容

大包装询价

×