| WB | 1/500 - 1/2000 | Human,Mouse,Monkey |
| IF | 咨询技术 | Human,Mouse,Monkey |
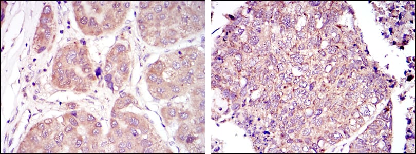
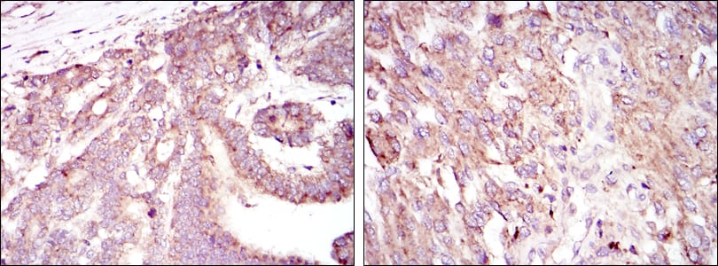
| IHC | 1/200 - 1/1000 | Human,Mouse,Monkey |
| ICC | 1/200 - 1/1000 | Human,Mouse,Monkey |
| FCM | 咨询技术 | Human,Mouse,Monkey |
| Elisa | 1/10000 | Human,Mouse,Monkey |
| Aliases | HIF1; MOP1; PASD8; bHLHe78; HIF-1alpha; HIF1-ALPHA; HIF1A |
| Entrez GeneID | 3091 |
| clone | 1A3 |
| WB Predicted band size | 120kDa |
| Host/Isotype | Mouse IgG1 |
| Antibody Type | Primary antibody |
| Storage | Store at 4°C short term. Aliquot and store at -20°C long term. Avoid freeze/thaw cycles. |
| Species Reactivity | Human,Mouse,Monkey |
| Immunogen | Purified recombinant fragment of human HIF1A expressed in E. Coli. |
| Formulation | Purified antibody in PBS with 0.05% sodium azide. |
+ +
以下是3篇关于HIF1A抗体的代表性文献摘要:
1. **"Hypoxia-inducible factor 1α is a new marker of aggressive serous ovarian cancer"**
- Authors: Birner P. et al. (2011)
- 摘要:该研究使用HIF1A抗体(克隆H1alpha67)通过免疫组化检测卵巢癌组织,发现HIF1α高表达与肿瘤侵袭性和不良预后显著相关,验证了该抗体在临床样本中的特异性。
2. **"Comparison of commercial antibodies for detection of HIF-1α in human cancer cells"**
- Authors: Vordermark D. et al. (2005)
- 摘要:系统性比较了多种市售HIF1A抗体(包括BD Biosciences和Novus Biologicals产品)在Western blot和免疫荧光中的表现,提出低氧条件(1% O₂)下抗体检测敏感性优化的关键条件。
3. **"Regulation of hypoxia-inducible factor 1α by the ubiquitin-proteasome pathway"**
- Authors: Salceda S. & Caro J. (1997)
- 摘要:早期经典研究,利用HIF1A抗体(自制多克隆抗体)证实HIF-1α在常氧条件下通过泛素-蛋白酶体途径降解,奠定后续抗体功能验证的基础。
注:如需具体DOI或期刊名称可进一步补充。建议优先选择近5年文献并结合实验类型(如ChIP、IF等)筛选抗体适用性。
HIF1A (hypoxia-inducible factor 1-alpha) is a critical transcriptional regulator that enables cellular adaptation to low oxygen conditions. As the oxygen-sensitive subunit of the HIF1 heterodimer, it partners with HIF1β (ARNT) to activate genes involved in angiogenesis, glycolysis, proliferation, and survival under hypoxia. Dysregulation of HIF1A is implicated in cancer progression, cardiovascular diseases, and ischemic disorders, making it a key research target in pathophysiology and therapeutic development.
HIF1A antibodies are essential tools for detecting and quantifying HIF1A protein expression, localization, and activation in experimental models. They are widely used in techniques like Western blotting, immunohistochemistry (IHC), immunofluorescence (IF), and chromatin immunoprecipitation (ChIP) to study hypoxia-responsive pathways. Specific antibodies can distinguish between normoxic degradation (mediated by prolyl hydroxylases and VHL ubiquitination) and hypoxic stabilization of HIF1A, aiding mechanistic studies. Some antibodies target post-translational modifications (e.g., hydroxylation) or isoforms (HIF1A vs. HIF2A/EPAS1), enabling precise functional analyses.
In cancer research, HIF1A antibodies help assess tumor hypoxia, metastatic potential, and therapeutic resistance. However, variability in antibody specificity across commercial sources requires careful validation using knockout controls. Despite challenges, these reagents remain indispensable for unraveling HIF1A's role in health and disease.
×