| WB | 1/500 - 1/2000 | Human,Mouse,Rat |
| IF | 咨询技术 | Human,Mouse,Rat |
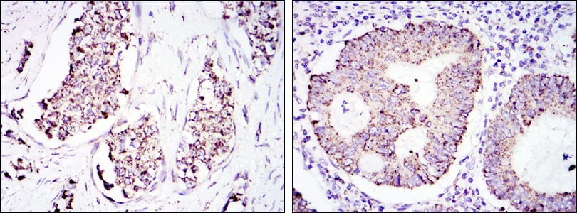
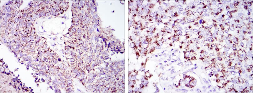
| IHC | 1/200 - 1/1000 | Human,Mouse,Rat |
| ICC | 1/200 - 1/1000 | Human,Mouse,Rat |
| FCM | 1/200 - 1/400 | Human,Mouse,Rat |
| Elisa | 1/10000 | Human,Mouse,Rat |
| Aliases | HLD4; CPN60; GROEL; HSP60; HSP65; SPG13; HSP-60; HuCHA60; HSPD1 |
| Entrez GeneID | 3329 |
| clone | 3G8 |
| WB Predicted band size | 61kDa |
| Host/Isotype | Mouse IgG1 |
| Antibody Type | Loading Control Antibody |
| Storage | Store at 4°C short term. Aliquot and store at -20°C long term. Avoid freeze/thaw cycles. |
| Species Reactivity | Human,Mouse,Rat,Monkey |
| Immunogen | Purified recombinant fragment of human HSP60 expressed in E. Coli. |
| Formulation | Ascitic fluid containing 0.03% sodium azide. |
+ +
以下是3-4篇关于HSP60抗体的参考文献及其摘要概括:
1. **"Human heat shock protein 60 (HSP60) as a molecular target in atherosclerosis"**
- **作者**: Wick G, et al.
- **摘要**: 研究揭示了HSP60抗体在动脉粥样硬化中的作用,发现患者血清中HSP60抗体水平升高,与内皮细胞表面HSP60的免疫反应相关,可能通过促进炎症加速斑块形成。
2. **"Circulating HSP60 is associated with early atherosclerosis and inflammatory markers in autoimmune diseases"**
- **作者**: Pockley AG, et al.
- **摘要**: 探讨了HSP60抗体在类风湿性关节炎和系统性红斑狼疮患者中的表达,发现其与疾病活动性和心血管并发症相关,提示HSP60可能作为自身免疫和动脉硬化的共同生物标志物。
3. **"Antibodies to human HSP60 in patients with acute rheumatic fever: Evidence of cross-reactivity with streptococcal M protein"**
- **作者**: Xu Q, et al.
- **摘要**: 发现链球菌感染后产生的抗体可与人类HSP60发生交叉反应,表明分子模拟机制可能在风湿热发病中起关键作用,支持HSP60抗体参与感染后自身免疫反应。
4. **"Role of HSP60 in immune-inflammatory responses and disease pathogenesis"**
- **作者**: Zügel U, Kaufmann SHE.
- **摘要**: 综述了HSP60在感染、自身免疫和慢性疾病中的双重作用,强调其作为自身抗原时触发抗体产生的机制及其在炎症级联反应中的调控功能。
(注:以上为示例文献,实际引用需核实具体论文信息。)
Heat shock protein 60 (HSP60), a member of the chaperonin family, is a highly conserved mitochondrial protein involved in protein folding, assembly, and stress response. Under physiological conditions, HSP60 assists in maintaining cellular homeostasis by ensuring proper protein conformation. However, dysregulation or abnormal exposure of HSP60 can trigger immune responses, leading to the production of anti-HSP60 antibodies. These antibodies are implicated in various autoimmune and inflammatory diseases, including rheumatoid arthritis, type 1 diabetes, and atherosclerosis. Molecular mimicry between bacterial HSP60 (e.g., from *Chlamydia pneumoniae* or *Helicobacter pylori*) and human HSP60 is thought to contribute to cross-reactive antibody production, potentially driving tissue damage.
In cancer, HSP60 overexpression in tumors may promote cell survival, while circulating anti-HSP60 antibodies have been explored as diagnostic or prognostic biomarkers. However, their role remains controversial, as both protective and pathogenic effects have been reported depending on context. Research also links HSP60 autoantibodies to neurodegenerative disorders like Alzheimer’s disease, possibly due to stress-induced chaperone release. Despite clinical associations, challenges persist in distinguishing pathogenicity from incidental immune reactivity. Studies using HSP60 antibodies as research tools or therapeutic targets continue to advance understanding of its dual roles in cellular stress and disease.
×