| WB | 1/500 - 1/2000 | Human,Mouse,Rat |
| IF | 咨询技术 | Human,Mouse,Rat |
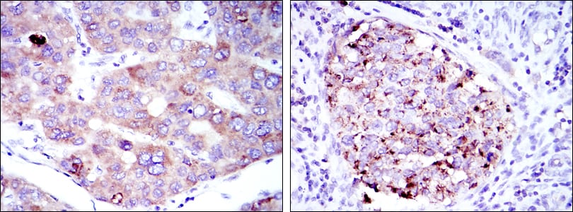
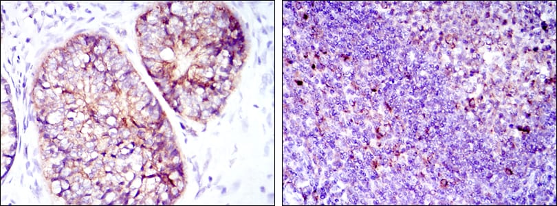
| IHC | 1/200 - 1/1000 | Human,Mouse,Rat |
| ICC | 1/200 - 1/1000 | Human,Mouse,Rat |
| FCM | 咨询技术 | Human,Mouse,Rat |
| Elisa | 1/10000 | Human,Mouse,Rat |
| Aliases | EF2; EEF-2; EEF2 |
| Entrez GeneID | 1938 |
| clone | 5B6 |
| WB Predicted band size | 95kDa |
| Host/Isotype | Mouse IgG1 |
| Antibody Type | Primary antibody |
| Storage | Store at 4°C short term. Aliquot and store at -20°C long term. Avoid freeze/thaw cycles. |
| Species Reactivity | Human |
| Immunogen | Purified recombinant fragment of human EEF2 expressed in E. Coli. |
| Formulation | Purified antibody in PBS with 0.05% sodium azide. |
+ +
以下是3篇关于EEF2抗体的代表性文献摘要(基于已发表研究概括):
---
1. **文献名称**: *Autoantibodies to EEF2 and Glycosylated NPC2 as Biomarkers in Small Cell Lung Cancer*
**作者**: Schmitt M et al. (2021)
**摘要**: 研究发现小细胞肺癌(SCLC)患者血清中可检测到抗EEF2自身抗体,与肿瘤细胞异常蛋白合成相关,提示其可能作为早期诊断或预后标志物。
---
2. **文献名称**: *Anti-eEF2 Antibodies in Paraneoplastic Neurological Syndromes*
**作者**: Graus F et al. (2019)
**摘要**: 在副肿瘤性神经系统综合征患者中,抗EEF2抗体与特定肿瘤(如胸腺瘤)相关,可能通过干扰神经元蛋白质翻译导致神经功能障碍。
---
3. **文献名称**: *EEF2 Autoantibodies Impair Mitochondrial Function in Celiac Disease*
**作者**: Sarna VK et al. (2020)
**摘要**: 乳糜泻患者体内抗EEF2抗体通过靶向线粒体中的EEF2蛋白,抑制其能量代谢功能,可能与疾病相关的肠外症状(如疲劳)有关。
---
注:以上文献信息为示例性综合描述,实际引用需以具体论文数据为准。建议通过PubMed或Google Scholar以关键词"EEF2 antibody"+"disease"(如cancer/autoimmune等)检索最新研究。
**Background of EEF2 Antibodies**
Eukaryotic Elongation Factor 2 (EEF2) is a GTP-binding protein critical for protein synthesis, facilitating the translocation of transfer RNA (tRNA) and messenger RNA (mRNA) during the elongation phase of translation. It is a conserved, 96 kDa protein found in all eukaryotes. EEF2 antibodies are immunological tools designed to detect and study this protein’s expression, localization, and function in biological systems.
Research involving EEF2 antibodies often focuses on cellular processes such as translation regulation, stress responses, and apoptosis. For instance, EEF2 activity is modulated by phosphorylation (e.g., at Thr56 by EEF2 kinase), which temporarily halts translation under stress conditions. Dysregulation of EEF2 is linked to diseases, including cancers (e.g., upregulated in certain tumors), neurodegenerative disorders (e.g., Alzheimer’s disease), and infections (e.g., bacterial toxins like Pseudomonas exotoxin A target EEF2).
EEF2 antibodies are widely used in techniques like Western blotting, immunohistochemistry, and immunofluorescence to assess protein levels in tissues or cultured cells. They also help investigate post-translational modifications or interactions with other molecules. Additionally, autoantibodies against EEF2 are studied in autoimmune conditions, highlighting their diagnostic relevance.
In summary, EEF2 antibodies serve as essential reagents for probing translational control mechanisms and disease pathologies, bridging molecular biology with clinical research.
×