| WB | 1/500 - 1/2000 | Human,Mouse,Rat |
| IF | 咨询技术 | Human,Mouse,Rat |
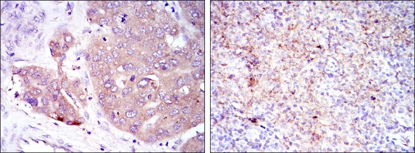
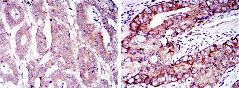
| IHC | 1/200 - 1/1000 | Human,Mouse,Rat |
| ICC | 1/200 - 1/1000 | Human,Mouse,Rat |
| FCM | 1/200 - 1/400 | Human,Mouse,Rat |
| Elisa | 1/10000 | Human,Mouse,Rat |
| Aliases | CBP; EIF4F; EIF4E1; EIF4EL1; MGC111573; EIF4E |
| Entrez GeneID | 1977 |
| clone | 5D11 |
| WB Predicted band size | 25kDa |
| Host/Isotype | Mouse IgG1 |
| Antibody Type | Primary antibody |
| Storage | Store at 4°C short term. Aliquot and store at -20°C long term. Avoid freeze/thaw cycles. |
| Species Reactivity | Human |
| Immunogen | Purified recombinant fragment of human EIF4E expressed in E. Coli. |
| Formulation | Ascitic fluid containing 0.03% sodium azide. |
+ +
以下是关于EIF4E抗体的3篇参考文献及其摘要内容的简要概括:
---
1. **文献名称**:*The role of eIF4E in oncogenic transformation and translation initiation*
**作者**:Topisirovic, I., & Sonenberg, N.
**摘要**:该研究探讨了eIF4E(真核翻译起始因子4E)在癌症发生中的作用,发现其过表达可促进细胞转化和肿瘤生长。研究利用eIF4E特异性抗体检测其在多种癌细胞系中的表达水平,证实了其通过调控mRNA翻译影响肿瘤进展的机制。
2. **文献名称**:*eIF4E as a biomarker for poor prognosis in breast cancer*
**作者**:De Benedetti, A., & Graff, J. R.
**摘要**:文章通过免疫组化方法(使用eIF4E抗体)分析乳腺癌组织中eIF4E的表达,发现其高表达与肿瘤侵袭性和患者生存率降低显著相关,提示eIF4E可作为乳腺癌预后不良的生物标志物。
3. **文献名称**:*Targeting eIF4E in cancer therapy: Insights from molecular studies*
**作者**:Merchen, B., & Ruggero, D.
**摘要**:该研究通过Western blot和免疫沉淀技术(使用eIF4E抗体),阐明了eIF4E在调控致癌蛋白翻译中的关键作用,并评估了靶向eIF4E的小分子抑制剂在抑制肿瘤生长中的潜在应用。
---
这些文献均聚焦于eIF4E的功能研究及其实验工具(抗体)的应用,覆盖了基础机制、临床关联及治疗策略。如需扩展,可进一步查阅相关领域的高影响力期刊(如*Nature Cancer*、*Cancer Research*)。
The eukaryotic translation initiation factor 4E (eIF4E) plays a critical role in cap-dependent mRNA translation initiation by binding to the 5' cap structure of mRNAs. It is a key regulator of protein synthesis, influencing cellular processes like proliferation, survival, and angiogenesis. Dysregulation of eIF4E is implicated in cancer, where its overexpression enhances the translation of oncogenic mRNAs (e.g., cyclins, VEGF), promoting tumor progression and therapy resistance.
eIF4E antibodies are essential tools in studying its expression, localization, and activity in both normal and pathological contexts. These antibodies are widely used in techniques like Western blotting, immunohistochemistry, and immunofluorescence to quantify eIF4E levels in tissues or cell lines. Researchers also employ them to investigate eIF4E's interaction with binding partners (e.g., eIF4G, 4E-BPs) or its phosphorylation status, which modulates its function.
In cancer research, eIF4E antibodies help assess its role as a biomarker or therapeutic target. For instance, targeting eIF4E with inhibitors or siRNA often requires antibody-based validation of knockdown efficiency. Commercial eIF4E antibodies are typically raised against specific epitopes (human or murine) and validated for cross-reactivity. Understanding eIF4E's regulatory pathways (e.g., mTOR signaling) using these antibodies has advanced strategies to disrupt oncogenic translation in precision medicine.
×