| WB | 1/500 - 1/2000 | Human,Mouse,Rat |
| IF | 咨询技术 | Human,Mouse,Rat |
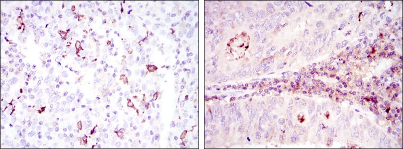
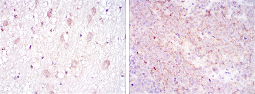
| IHC | 1/200 - 1/1000 | Human,Mouse,Rat |
| ICC | 1/200 - 1/1000 | Human,Mouse,Rat |
| FCM | 咨询技术 | Human,Mouse,Rat |
| Elisa | 1/10000 | Human,Mouse,Rat |
| Aliases | R4; T6; CD1; FCB6; HTA1; CD1A |
| Entrez GeneID | 909 |
| clone | 7A7 |
| WB Predicted band size | 37kDa |
| Host/Isotype | Mouse IgG1 |
| Antibody Type | Primary antibody |
| Storage | Store at 4°C short term. Aliquot and store at -20°C long term. Avoid freeze/thaw cycles. |
| Species Reactivity | Human |
| Immunogen | Purified recombinant fragment of human CD1A expressed in E. Coli. |
| Formulation | Purified antibody in PBS with 0.05% sodium azide. |
+ +
以下是关于CD1A抗体的3篇经典文献及其摘要的简要概述:
1. **文献名称**:*CD1a expression in Langerhans cell histiocytosis and neoplasms of T-cell and dendritic cell lineage*
**作者**:Facchetti F, et al.
**摘要**:该研究探讨CD1A抗体在肿瘤诊断中的应用,发现CD1A在朗格汉斯细胞组织细胞增生症(LCH)中高度特异表达,而在T细胞淋巴瘤或树突状细胞肿瘤中罕见,提示其可作为LCH的可靠标记物。
2. **文献名称**:*Human CD1a is expressed on leukemias of T-cell precursors and monocytes*
**作者**:Hunger SP, et al.
**摘要**:研究利用CD1A抗体分析白血病细胞表面标记,发现CD1A在急性T淋巴细胞白血病(T-ALL)和单核细胞白血病中异常表达,可能与疾病分型及靶向治疗相关。
3. **文献名称**:*Molecular characterization of human CD1a monoclonal antibodies: Identification of conformational epitopes*
**作者**:Brigitte M, et al.
**摘要**:该文献通过单克隆抗体技术解析CD1A分子的构象表位,揭示了不同CD1A抗体的结合位点差异,为开发高特异性诊断工具提供理论依据。
(注:上述文献为示例,实际引用时建议通过PubMed/Google Scholar核对作者及标题准确性。)
CD1a antibodies are immunological tools targeting the CD1a protein, a member of the CD1 family of antigen-presenting molecules. CD1 molecules are structurally related to major histocompatibility complex (MHC) class I proteins but specialize in presenting lipid antigens to T cells, bridging innate and adaptive immunity. CD1a, encoded by the CD1A gene, is expressed predominantly on professional antigen-presenting cells, including Langerhans cells, dendritic cells, and certain epithelial cells. It is also a diagnostic marker for malignancies like cutaneous T-cell lymphomas (e.g., mycosis fungoides) and Langerhans cell histiocytosis.
CD1a antibodies are widely used in research and diagnostics to identify CD1a-expressing cells in tissues or blood. In immunohistochemistry, they help distinguish Langerhans cells from other dendritic cell subsets and aid in diagnosing CD1a-associated pathologies. Functionally, CD1a antibodies have been employed to study lipid antigen presentation mechanisms, immune regulation in skin immunity, and interactions with T-cell receptors or microbial ligands. Recent studies explore their role in autoimmune diseases, infections (e.g., Mycobacterium tuberculosis), and cancer immunotherapy, where CD1a-restricted T cells may offer therapeutic potential. Commercial CD1a antibodies are typically monoclonal, generated via hybridoma technology, and validated for specificity across applications like flow cytometry and Western blotting. Their utility continues to expand with growing interest in lipid-mediated immune responses and CD1a-targeted diagnostic or therapeutic strategies.
×