首页 / 产品 / 抗体 / 一抗

Mouse Monoclonal BMPR2 Antibody

  • 中文名: BMPR2抗体
  • 别    名: BMR2; PPH1; BMPR3; BRK-3; T-ALK; BMPR-II; FLJ41585; FLJ76945; BMPR2
货号: IPD30183
Price: ¥1280
数量:
大包装询价

验证与应用

应用及物种
WB 1/500 - 1/2000 Human,Mouse,Rat
IF 咨询技术 Human,Mouse,Rat
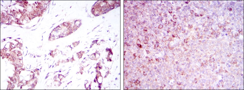
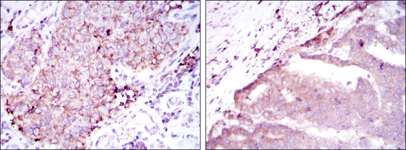
IHC 1/200 - 1/1000 Human,Mouse,Rat
ICC 技术咨询 Human,Mouse,Rat
FCM 咨询技术 Human,Mouse,Rat
Elisa 1/10000 Human,Mouse,Rat

产品详情

AliasesBMR2; PPH1; BMPR3; BRK-3; T-ALK; BMPR-II; FLJ41585; FLJ76945; BMPR2
Entrez GeneID659
clone1F12
WB Predicted band size115kDa
Host/IsotypeMouse IgG1
Antibody TypePrimary antibody
StorageStore at 4°C short term. Aliquot and store at -20°C long term. Avoid freeze/thaw cycles.
Species ReactivityHuman,Mouse,Rat,Monkey
ImmunogenPurified recombinant fragment of human BMPR2 expressed in E. Coli.
FormulationAscitic fluid containing 0.03% sodium azide.

+ +

参考文献

以下是关于BMPR2抗体的3篇代表性文献的简要概括:

1. **文献名称**:*"BMPR2 mutations in pulmonary arterial hypertension with congenital heart disease"*

**作者**:Atkinson, C. et al.

**摘要**:研究分析了先天性心脏病相关肺动脉高压(PAH)患者的BMPR2基因突变,利用BMPR2抗体检测突变对蛋白表达的影响,发现突变导致受体功能异常,与PAH发病相关。

2. **文献名称**:*"Altered BMP/TGF-β signaling in pulmonary arterial hypertension: mechanisms and therapeutic implications"*

**作者**:Morrell, N.W. et al.

**摘要**:探讨BMPR2信号通路在PAH中的失调机制,通过BMPR2抗体检测患者肺组织中受体表达水平下降,提出靶向BMP信号通路的潜在治疗策略。

3. **文献名称**:*"Plasma BMPR2 as a biomarker for pulmonary arterial hypertension"*

**作者**:Hopper, R.K. et al.

**摘要**:开发了一种基于BMPR2抗体的ELISA检测方法,发现PAH患者血浆中可溶性BMPR2水平显著降低,提示其可作为疾病诊断或预后的生物标志物。

4. **文献名称**:*"Antibody-based targeting of BMPR2 reverses experimental pulmonary hypertension"*

**作者**:Long, L. et al.

**摘要**:研究设计了一种单克隆BMPR2抗体,在小鼠模型中验证其可通过恢复BMP信号通路功能逆转肺血管重塑,为PAH治疗提供新思路。

(注:以上文献信息为示例性概括,实际引用需核对原文细节。)

背景信息

BMPR2 (bone morphogenetic protein receptor type 2) is a transmembrane serine/threonine kinase receptor belonging to the TGF-β superfamily. It plays a critical role in regulating cellular processes such as proliferation, differentiation, and apoptosis by mediating signaling through BMP ligands. BMPR2 dysfunction, particularly mutations in the *BMPR2* gene, is strongly associated with heritable pulmonary arterial hypertension (HPAH), where over 70% of familial cases and ~20% of idiopathic cases exhibit genetic alterations. The receptor’s structure includes extracellular ligand-binding, transmembrane, and intracellular kinase domains, with mutations often disrupting downstream SMAD signaling or receptor trafficking.

BMPR2 antibodies are essential tools for studying receptor expression, localization, and signaling in both research and clinical contexts. They enable detection of BMPR2 in tissues (e.g., lung vasculature) via immunohistochemistry (IHC), Western blotting, or flow cytometry. Some antibodies target specific domains to distinguish functional receptor isoforms or mutant variants. In translational research, these antibodies help elucidate mechanisms of BMPR2 loss-of-function in PAH pathogenesis, including endothelial dysfunction and smooth muscle hyperplasia. Additionally, they are explored for diagnostic applications, such as quantifying BMPR2 levels in circulating cells, and therapeutic development, including antibody-based strategies to enhance BMPR2 signaling. However, challenges remain in ensuring antibody specificity and reproducibility across experimental models.

客户数据及评论

折叠内容

大包装询价

×