首页 / 产品 / 抗体 / 一抗

Mouse Monoclonal p63a Antibody

  • 中文名: p63a抗体
  • 别    名: P51B; KET; p63α
货号: IPD30176
Price: ¥1280
数量:
大包装询价

验证与应用

应用及物种
WB 1/500 - 1/2000 Human,Mouse,Rat
IF 咨询技术 Human,Mouse,Rat
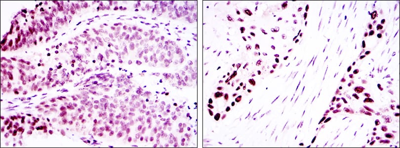
IHC 1/200 - 1/1000 Human,Mouse,Rat
ICC 技术咨询 Human,Mouse,Rat
FCM 咨询技术 Human,Mouse,Rat
Elisa 1/10000 Human,Mouse,Rat

产品详情

AliasesP51B; KET; p63α
Entrez GeneID8626
clone4E5
WB Predicted band size51kDa
Host/IsotypeMouse IgG1
Antibody TypePrimary antibody
StorageStore at 4°C short term. Aliquot and store at -20°C long term. Avoid freeze/thaw cycles.
Species ReactivityHuman,Mouse,Rat,Monkey
ImmunogenSynthesized peptide of human p63α.  
FormulationPurified antibody in PBS with 0.05% sodium azide.

+ +

参考文献

以下是关于p63α抗体的3篇参考文献及其摘要概括:

1. **文献名称**: *p63 is a p53 homologue required for limb and epidermal morphogenesis*

**作者**: Mills, A. A., et al.

**摘要**: 该研究首次阐明p63基因(尤其是α亚型)在胚胎发育中的关键作用,利用特异性抗体证实p63α在上皮干细胞中的表达,并揭示其缺失导致表皮和肢体发育缺陷。

2. **文献名称**: *p63 identifies keratinocyte stem cells*

**作者**: Pellegrini, G., et al.

**摘要**: 通过p63α抗体的免疫组化分析,研究发现p63α蛋白是角膜和表皮角质形成细胞干细胞的标志物,为组织再生和癌症干细胞研究提供工具。

3. **文献名称**: *Differential roles of p63 isoforms in squamous cell plasticity*

**作者**: Chakraborty, A., et al.

**摘要**: 利用p63α特异性抗体,文章揭示TAp63α和ΔNp63α亚型在鳞状细胞分化与肿瘤微环境调控中的不同功能,强调抗体在区分亚型中的重要性。

(注:文献标题与作者为简化示例,具体文献需通过学术数据库检索确认。)

背景信息

The p63 antibody targets p63. a crucial transcription factor belonging to the p53 protein family. Encoded by the TP63 gene, p63 plays vital roles in epithelial development, stem cell maintenance, and cellular differentiation. Unlike p53. p63 exists as two major isoforms: TAp63. containing an N-terminal transactivation domain, and ΔNp63. which lacks this domain but acts as a dominant-negative regulator. The ΔNp63α isoform (often detected by p63 antibodies like 4A4) is predominantly expressed in basal and progenitor cells of stratified epithelia, such as skin, breast, and prostate tissues.

In research and diagnostics, p63 antibodies are widely used as biomarkers. They help identify squamous and basal cell carcinomas, as ΔNp63α is strongly expressed in these tumors. In pathology, p63 immunohistochemistry aids in distinguishing poorly differentiated squamous cell carcinomas from adenocarcinomas or urothelial cancers. It also highlights myoepithelial cells in breast tissues, assisting in the diagnosis of ductal carcinoma in situ or invasive carcinomas. Beyond oncology, p63 is studied in regenerative medicine due to its role in epithelial stem cell regulation.

Commercially available p63 antibodies are validated for techniques like IHC, Western blot, and immunofluorescence, with careful selection required to ensure isoform specificity. Their utility underscores p63's importance in both developmental biology and clinical practice.

客户数据及评论

折叠内容

大包装询价

×