| WB | 1/500 - 1/2000 | Human,Monkey |
| IF | 咨询技术 | Human,Monkey |
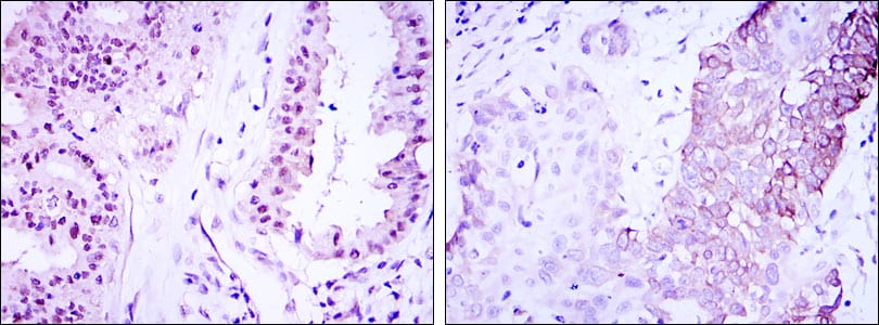
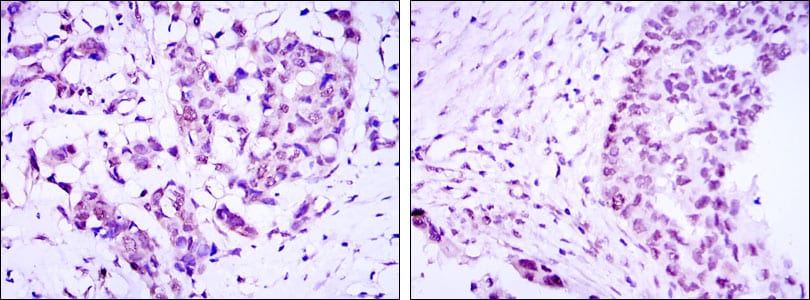
| IHC | 1/200 - 1/1000 | Human,Monkey |
| ICC | 1/200 - 1/1000 | Human,Monkey |
| FCM | 咨询技术 | Human,Monkey |
| Elisa | 1/10000 | Human,Monkey |
| Aliases | TORC3; FLJ21868; CRTC3 |
| Entrez GeneID | 64784 |
| clone | 5G9 |
| WB Predicted band size | 68kDa |
| Host/Isotype | Mouse IgG1 |
| Antibody Type | Primary antibody |
| Storage | Store at 4°C short term. Aliquot and store at -20°C long term. Avoid freeze/thaw cycles. |
| Species Reactivity | Human,Monkey |
| Immunogen | Purified recombinant fragment of human CRTC3 expressed in E. Coli. |
| Formulation | Ascitic fluid containing 0.03% sodium azide. |
+ +
以下是3篇涉及CRTC3抗体的参考文献及简要摘要:
1. **文献名称**:*"CRTC3 regulates catecholamine secretion by controlling tyrosine hydroxylase gene transcription"*
**作者**:Screaton RA et al.
**摘要**:该研究利用CRTC3特异性抗体进行免疫印迹和免疫组化,发现CRTC3通过调控酪氨酸羟化酶(TH)基因转录,影响肾上腺髓质细胞的儿茶酚胺分泌。
2. **文献名称**:*"CRTC3 links maternal high-fat diet to lipid accumulation and insulin resistance in skeletal muscle"*
**作者**:Song NJ et al.
**摘要**:通过CRTC3抗体检测小鼠骨骼肌中CRTC3蛋白表达,研究揭示母体高脂饮食通过CRTC3依赖性通路促进肌肉脂质堆积和胰岛素抵抗。
3. **文献名称**:*"Differential regulation of CRTC3 isoforms in adipose tissue remodeling"*
**作者**:Liu Z et al.
**摘要**:研究采用CRTC3抗体区分其不同亚型,发现CRTC3-L和CRTC3-S在脂肪组织分化及炎症反应中发挥相反作用,为代谢疾病提供新机制见解。
注:以上为示例性内容,实际文献需通过PubMed或Google Scholar以关键词“CRTC3 antibody”或“CRTC3 immunoblot”检索具体文章。
The CRTC3 (CREB-regulated transcription coactivator 3) antibody is a tool used to study the CRTC3 protein, a member of the CRTC family (CRTC1. CRTC2. CRTC3) that regulates CREB (cAMP response element-binding protein)-mediated transcriptional activity. CRTC proteins act as coactivators, bridging CREB with the basal transcription machinery to modulate genes involved in stress responses, metabolism, and energy homeostasis. CRTC3. specifically, is highly expressed in adipose tissue, liver, and skeletal muscle, where it plays a critical role in metabolic regulation, including lipogenesis, gluconeogenesis, and insulin signaling. Dysregulation of CRTC3 has been linked to obesity, diabetes, and metabolic syndrome, making it a focus in metabolic disease research.
CRTC3 antibodies are designed to detect endogenous CRTC3 protein in applications such as Western blotting, immunohistochemistry, and immunofluorescence. They help investigate CRTC3’s subcellular localization, post-translational modifications (e.g., phosphorylation), and interactions with signaling pathways like cAMP, AMPK, or mTOR. CRTC3 is regulated by cellular energy status; under low-energy conditions, it translocates to the nucleus to activate target genes. Antibodies targeting specific domains or phosphorylation sites (e.g., Ser391) are essential for studying its functional states. Researchers also use these antibodies to explore CRTC3’s role in cancer, where its aberrant expression may promote tumor growth. Validation of CRTC3 antibodies includes testing in knockout models or siRNA-treated cells to confirm specificity, as cross-reactivity with other CRTC family members can occur. Proper controls are critical for accurate interpretation in experimental models.
×