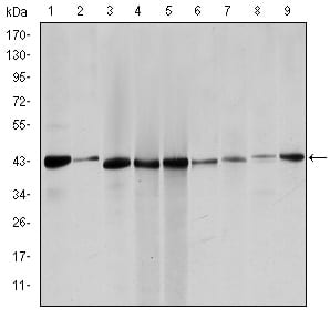
| WB | 1/500 - 1/2000 | Human,Mouse,Rat |
| IF | 咨询技术 | Human,Mouse,Rat |
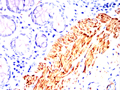
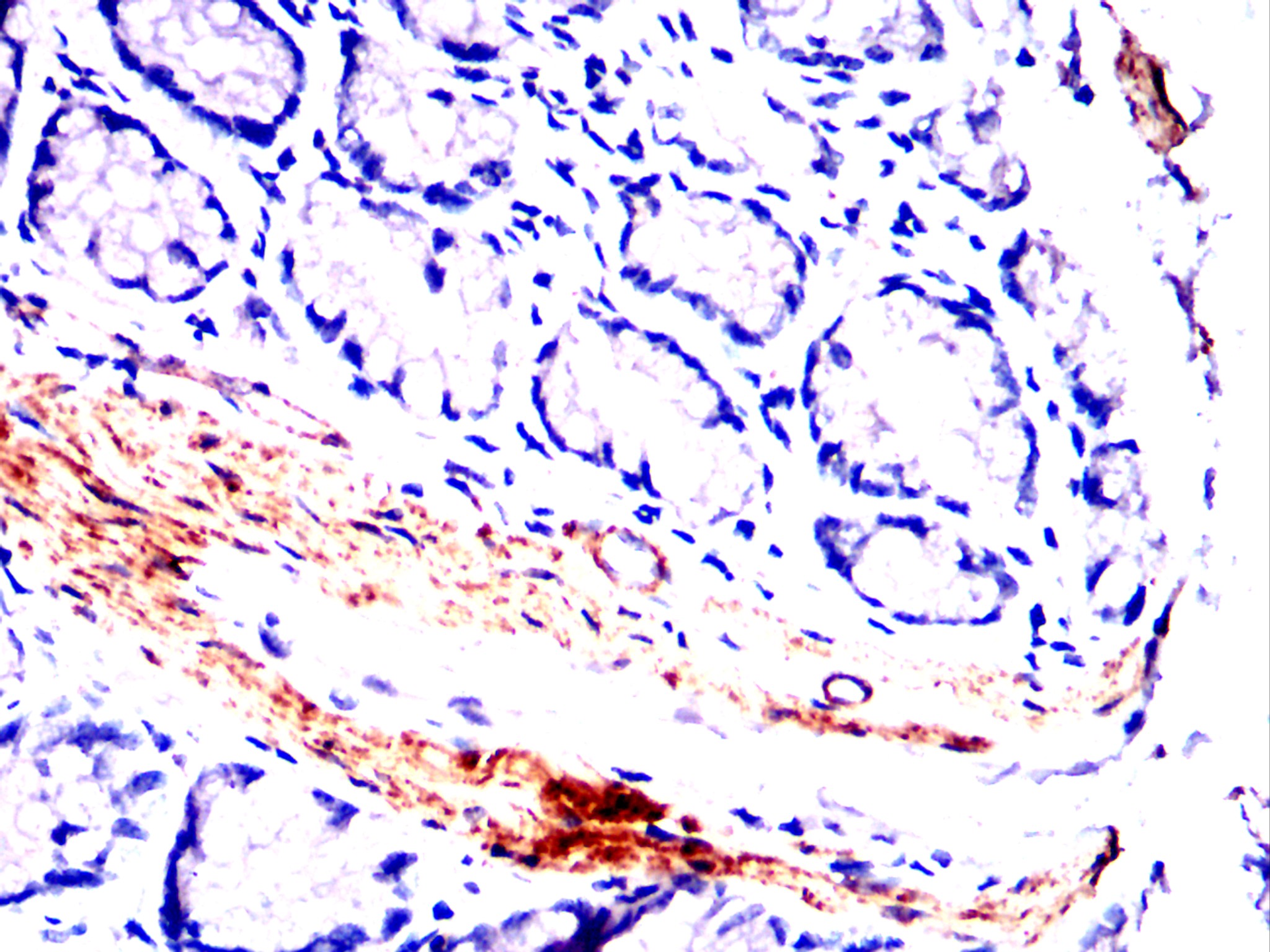
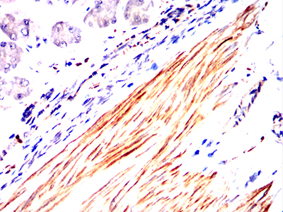
| IHC | 1/50-1/100 | Human,Mouse,Rat |
| ICC | 1/200 - 1/1000 | Human,Mouse,Rat |
| FCM | 1/200 - 1/400 | Human,Mouse,Rat |
| Elisa | 1/10000 | Human,Mouse,Rat |
| Aliases | ACTA2;AAT6; ACTSA; ACTA2;α-Smooth Muscle Actin;Alpha-actin-2;Alpha actin 2 |
| Entrez GeneID | 59 |
| clone | 1H8 |
| WB Predicted band size | 42kDa |
| Host/Isotype | Mouse IgG1 |
| Antibody Type | Primary antibody |
| Storage | Store at 4°C short term. Aliquot and store at -20°C long term. Avoid freeze/thaw cycles. |
| Species Reactivity | Human,Mouse,Rat,Rabbit,Monkey |
| Immunogen | Purified recombinant fragment of human ACTA2 expressed in E. Coli. |
| Formulation | Purified antibody in PBS with 0.05% sodium azide. |
+ +
以下是3篇关于α-SMA抗体的经典文献及其摘要概括:
---
1. **标题**: *The myofibroblast: one function, multiple origins*
**作者**: Hinz B, et al.
**摘要**: 本文综述了肌成纤维细胞在不同组织纤维化中的核心作用,强调α-SMA抗体作为其标志物的应用。研究指出,α-SMA的表达与细胞收缩力增强直接相关,并探讨其在伤口愈合和病理纤维化中的动态变化。
---
2. **标题**: *Cancer-associated fibroblasts as key players in the tumor microenvironment*
**作者**: Kalluri R, Zeisberg M.
**摘要**: 通过α-SMA抗体标记,作者证实癌症相关成纤维细胞(CAFs)在肿瘤基质重塑和促癌信号传导中的关键作用,揭示其高表达α-SMA的特性与患者预后不良的相关性。
---
3. **标题**: *Vascular smooth muscle cell plasticity: autocrine role of calcitonin gene-related peptide*
**作者**: Alexander MR, Owens GK.
**摘要**: 利用α-SMA抗体追踪血管平滑肌细胞(VSMCs)表型转换,研究揭示其在动脉粥样硬化中从收缩型向合成型转变的分子机制,强调α-SMA下调与疾病进展的关联。
---
**备注**:上述文献主要聚焦α-SMA抗体在肌成纤维细胞、肿瘤微环境及血管疾病研究中的应用,适合作为病理机制或实验标记方法的参考。如需实验技术细节(如抗体克隆号、染色条件),建议补充具体应用场景后再针对性筛选文献。
Alpha Smooth Muscle Actin (α-SMA), encoded by the ACTA2 gene, is a 42 kDa cytoskeletal protein belonging to the actin family. It is a key marker of smooth muscle cells and myofibroblasts, playing crucial roles in cell contraction, motility, and structural integrity. Unlike β- and γ-actin isoforms found in most cell types, α-SMA is specifically expressed in vascular smooth muscle cells, myoepithelial cells, and activated myofibroblasts during tissue repair or fibrosis.
Antibodies targeting α-SMA are widely used in research and diagnostics to identify smooth muscle-containing tissues and pathological conditions involving myofibroblast activation. In histopathology, these antibodies help distinguish vascular lesions, stromal tumors, and fibrotic processes. They are particularly valuable in cancer research for detecting cancer-associated fibroblasts (CAFs) in tumor microenvironments and assessing fibrotic progression in organs like the liver, lungs, and kidneys.
Common applications include immunohistochemistry, immunofluorescence, and Western blotting. Commercially available α-SMA antibodies are typically monoclonal (e.g., clone 1A4) or polyclonal, with species reactivity spanning human, mouse, and rat samples. Proper validation using knockout controls or siRNA-treated cells is essential due to potential cross-reactivity with other actin isoforms. Recent studies also utilize α-SMA antibodies in flow cytometry for characterizing mesenchymal cell populations and in mechanobiology research investigating cell-matrix interactions.
×