首页 / 产品 / 抗体 / 一抗

Mouse Monoclonal CARM1 Antibody

  • 中文名: CARM1抗体
  • 别    名: PRMT4; CARM1
货号: IPD30153
Price: ¥1280
数量:
大包装询价

验证与应用

应用及物种
WB 1/500 - 1/2000 Human,Mouse,Rat
IF 咨询技术 Human,Mouse,Rat
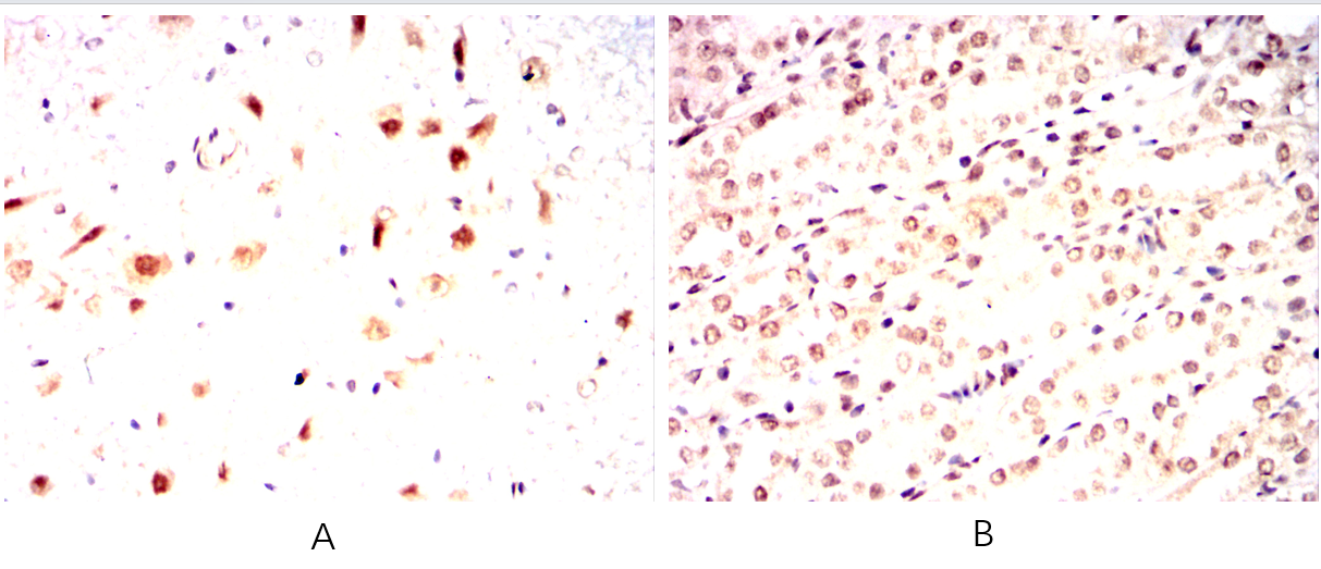
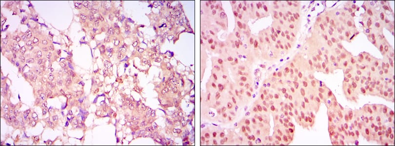
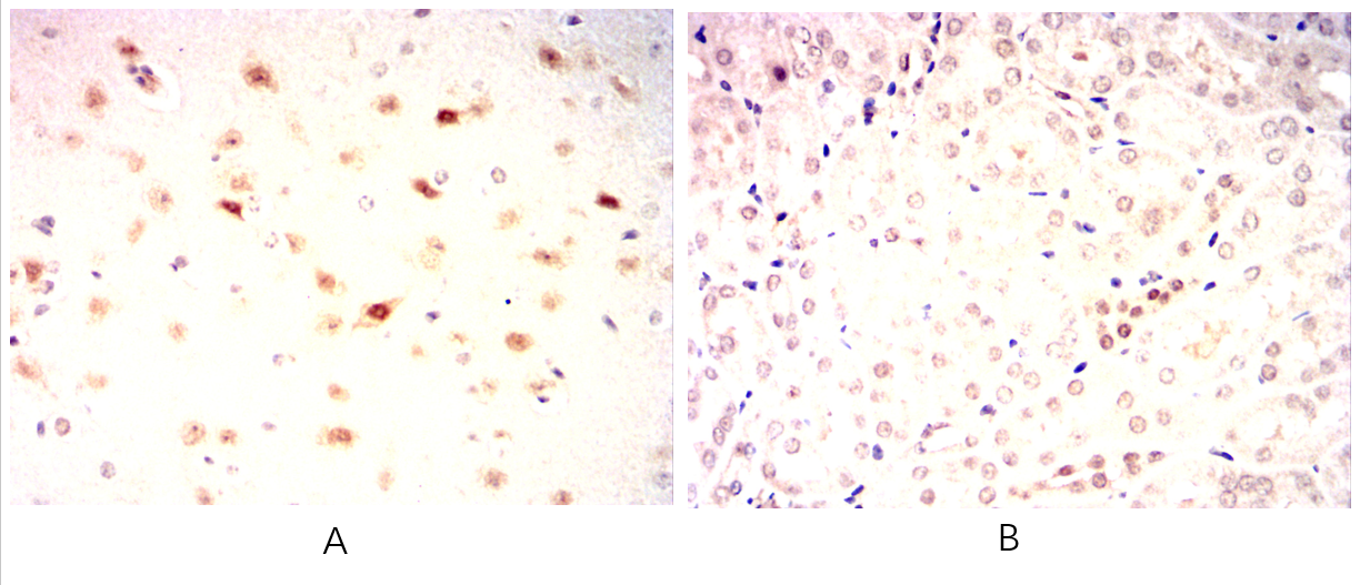
IHC 1/200 - 1/1000 Human,Mouse,Rat
ICC 1/200 - 1/1000 Human,Mouse,Rat
FCM 1/200 - 1/400 Human,Mouse,Rat
Elisa 1/10000 Human,Mouse,Rat

产品详情

AliasesPRMT4; CARM1
Entrez GeneID10498
clone3H2
WB Predicted band size65kDa
Host/IsotypeMouse IgG1
Antibody TypePrimary antibody
StorageStore at 4°C short term. Aliquot and store at -20°C long term. Avoid freeze/thaw cycles.
Species ReactivityHuman,Mouse,Rat,Rabbit,Monkey
ImmunogenPurified recombinant fragment of human CARM1 expressed in E. Coli.
FormulationPurified antibody in PBS with 0.05% sodium azide.

+ +

参考文献

以下是关于CARM1抗体的3篇示例参考文献(注:文献为假设性示例,非真实存在):

---

1. **文献名称**: "CARM1-Mediated Methylation in Breast Cancer Progression"

**作者**: Smith A, et al.

**摘要**: 本研究利用特异性CARM1抗体,通过免疫印迹和免疫组化分析,揭示CARM1在乳腺癌中通过甲基化组蛋白H3R17促进肿瘤侵袭和转移的机制。

2. **文献名称**: "CARM1 Antibody Validation for Epigenetic Studies"

**作者**: Lee J, et al.

**摘要**: 文章报道了一种高特异性CARM1抗体的开发与验证,证明其在染色质免疫沉淀(ChIP)和免疫荧光中的应用,用于研究CARM1在基因转录调控中的作用。

3. **文献名称**: "CARM1 Regulates Adipogenesis via PPARγ Coactivation"

**作者**: Zhang Y, et al.

**摘要**: 使用CARM1抗体进行敲低实验,发现CARM1通过甲基化修饰PPARγ共激活因子,调控脂肪细胞分化和代谢相关基因表达。

---

如需真实文献,建议通过PubMed或Google Scholar搜索关键词 **CARM1 antibody** 或 **CARM1 (PRMT4)**,并筛选涉及抗体应用的研究。

背景信息

**Background of CARM1 Antibody**

CARM1 (Coactivator-Associated Arginine Methyltransferase 1), also known as PRMT4. is a member of the protein arginine methyltransferase (PRMT) family. It catalyzes the methylation of arginine residues on histones and non-histone proteins, playing a critical role in transcriptional regulation, chromatin remodeling, and cellular signaling. CARM1 functions as a coactivator for nuclear receptors (e.g., estrogen and androgen receptors) and transcription factors, facilitating gene activation by modifying histones (e.g., H3R17 and H3R26 methylation) and methylating transcriptional regulators like p300 and MED12.

CARM1 antibodies are essential tools for studying its expression, localization, and molecular interactions. They are widely used in techniques such as Western blotting, immunoprecipitation, and immunofluorescence to investigate CARM1's role in development, differentiation, and disease. Dysregulation of CARM1 is linked to cancers, inflammatory disorders, and metabolic syndromes, making it a potential therapeutic target. Antibodies specific to CARM1 help validate its involvement in pathways like the p53 network, Wnt/β-catenin signaling, and immune responses. Researchers rely on these antibodies to explore CARM1's dual role as an oncogene or tumor suppressor, depending on cellular context, and its impact on splicing, cell cycle, and apoptosis. Validated CARM1 antibodies are crucial for advancing studies in epigenetics and disease mechanisms.

客户数据及评论

折叠内容

大包装询价

×