| WB | 1/500 - 1/2000 | Human,Rat,Monkey |
| IF | 咨询技术 | Human,Rat,Monkey |
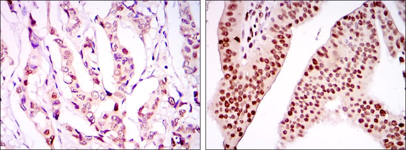
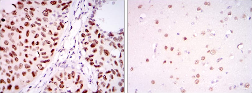
| IHC | 1/200 - 1/1000 | Human,Rat,Monkey |
| ICC | 1/200 - 1/1000 | Human,Rat,Monkey |
| FCM | 咨询技术 | Human,Rat,Monkey |
| Elisa | 1/10000 | Human,Rat,Monkey |
| Aliases | p52; p75; PAIP; DFS70; LEDGF; PSIP2; MGC74712; PSIP1 |
| Entrez GeneID | 11168 |
| clone | 6E4 |
| WB Predicted band size | 75kDa |
| Host/Isotype | Mouse IgG1 |
| Antibody Type | Primary antibody |
| Storage | Store at 4°C short term. Aliquot and store at -20°C long term. Avoid freeze/thaw cycles. |
| Species Reactivity | Human,Rat,Monkey |
| Immunogen | Purified recombinant fragment of human PSIP1 expressed in E. Coli. |
| Formulation | Purified antibody in PBS with 0.05% sodium azide. |
+ +
以下是关于PSIP1(LEDGF/p75)抗体的3篇参考文献及其摘要概括:
1. **文献名称**: *Lens epithelium-derived growth factor (LEDGF/p75) interacts with and promotes the proteasomal degradation of PSIP1*
**作者**: Singh DP et al.
**摘要**: 研究揭示了PSIP1(LEDGF/p75)与细胞应激相关的相互作用机制,通过抗体检测发现其与蛋白酶体降解途径的关联,提示其在DNA修复和细胞存活中的作用。
2. **文献名称**: *HIV-1 integration targeting by LEDGF/p75: A role for co-factors and chromatin structure*
**作者**: Ciuffi A et al.
**摘要**: 利用PSIP1特异性抗体证实了LEDGF/p75作为HIV整合宿主因子的功能,阐明其通过结合病毒整合酶和染色质定向病毒DNA整合至宿主基因组。
3. **文献名称**: *LEDGF/p75 is required for efficient processing of DNA double-strand breaks by homologous recombination*
**作者**: Daugaard M et al.
**摘要**: 通过抗体介导的蛋白敲低实验,证明PSIP1在DNA同源重组修复中的关键作用,并揭示其与BRCA1/2通路的协同效应。
4. **文献名称**: *Development of a monoclonal antibody specific for PSIP1/LEDGF and its application in prostate cancer prognosis*
**作者**: Wang Y et al.
**摘要**: 报道了一种新型PSIP1单克隆抗体的开发,并验证其在前列腺癌组织中高表达与患者不良预后的相关性,提示其作为潜在诊断标志物。
这些研究均通过PSIP1抗体探索了该蛋白在病毒整合、DNA修复及癌症中的分子机制和应用价值。
PSIP1 (PC4 and SFRS1 interacting protein 1), also known as LEDGF/p75. is a transcriptional coactivator implicated in diverse cellular processes, including chromatin remodeling, stress response, and HIV-1 integration. It interacts with multiple partners, such as RNA polymerase II, histone modifiers, and viral integrases, to regulate gene expression and genome stability. PSIP1 plays a critical role in tethering the HIV-1 preintegration complex to transcriptionally active chromatin, making it a key host factor in viral replication. Dysregulation of PSIP1 has been linked to cancers, autoimmune diseases, and neurological disorders, highlighting its broad functional relevance.
PSIP1 antibodies are essential tools for studying its expression, localization, and interactions. These antibodies are typically developed in hosts like rabbits or mice using immunogenic epitopes from conserved regions of the human PSIP1 protein. They enable detection via techniques such as Western blotting, immunofluorescence, and chromatin immunoprecipitation (ChIP). Specific validation steps, including knockout controls and peptide blocking, ensure antibody specificity. Research applications range from investigating HIV-1 pathogenesis to exploring PSIP1’s role in cancer progression or DNA repair mechanisms. Recent therapeutic strategies targeting PSIP1-HIV integrase interactions further underscore its biomedical significance.
×