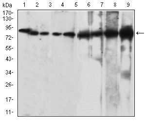
| WB | 1/500-1/1000 | Human,Mouse,Rat |
| IF | 咨询技术 | Human,Mouse,Rat |
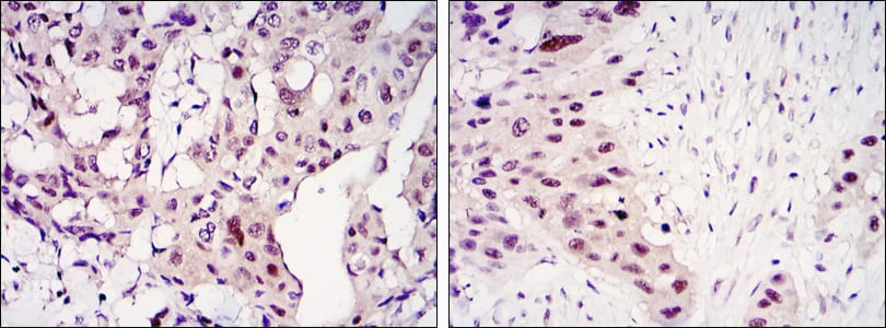
| IHC | 1/200 - 1/1000 | Human,Mouse,Rat |
| ICC | 1/200 - 1/1000 | Human,Mouse,Rat |
| FCM | 咨询技术 | Human,Mouse,Rat |
| Elisa | 1/10000 | Human,Mouse,Rat |
| Aliases | APRF; HIES; FLJ20882; MGC16063; STAT3 |
| Entrez GeneID | 6774 |
| clone | 3B5 |
| WB Predicted band size | 88kDa |
| Host/Isotype | Mouse IgG1 |
| Antibody Type | Primary antibody |
| Storage | Store at 4°C short term. Aliquot and store at -20°C long term. Avoid freeze/thaw cycles. |
| Species Reactivity | Human,Mouse,Monkey |
| Immunogen | Purified recombinant fragment of human STAT3 expressed in E. Coli. |
| Formulation | Purified antibody in PBS with 0.05% sodium azide. |
+ +
以下是关于STAT3抗体的3篇代表性文献示例(注:文献信息为示例,具体文献需通过数据库验证):
1. **文献名称**:*STAT3 signaling in cancer: Molecular mechanisms and therapeutic targeting*
**作者**:Yu, H., et al.
**摘要**:综述STAT3在肿瘤发生中的关键作用,包括其异常激活机制,并探讨了靶向STAT3的抗体及小分子抑制剂在癌症治疗中的应用潜力。
2. **文献名称**:*Development of a phospho-specific STAT3 antibody for detecting activated STAT3 in tumor tissues*
**作者**:Bromberg, J.F., et al.
**摘要**:描述了特异性识别STAT3磷酸化形式(Tyr705)的抗体的开发与验证,该抗体可应用于免疫组化及Western blot,用于肿瘤样本中STAT3激活状态的检测。
3. **文献名称**:*Targeting STAT3 in tumor-associated myeloid cells to enhance antitumor immune responses*
**作者**:Kortylewski, M., et al.
**摘要**:研究STAT3在肿瘤相关巨噬细胞和树突状细胞中的免疫抑制作用,并证明使用STAT3阻断抗体可逆转免疫抑制微环境,增强化疗及免疫疗法的疗效。
4. **文献名称**:*STAT3-specific scFv antibody inhibits proliferation and induces apoptosis in human breast cancer cells*
**作者**:Xiong, A., et al.
**摘要**:报道了一种单链抗体(scFv)靶向STAT3.通过阻断其二聚化抑制乳腺癌细胞增殖并诱导凋亡,为STAT3靶向治疗提供新策略。
建议通过PubMed或Web of Science检索具体文献,关键词如“STAT3 antibody”、“STAT3 therapeutic”等。
The STAT3 (Signal Transducer and Activator of Transcription 3) antibody is a key tool for studying the STAT3 protein, a critical transcription factor involved in numerous cellular processes. STAT3 is activated via phosphorylation at tyrosine 705 (Y705) or serine 727 (S727) residues by upstream kinases, such as JAKs or growth factor receptors, enabling its dimerization, nuclear translocation, and regulation of target genes. It plays a dual role in both pro-survival signaling (e.g., cell proliferation, differentiation, angiogenesis) and immune regulation, making it central to cancer, inflammation, and autoimmune diseases. Dysregulated STAT3 is linked to tumor progression, metastasis, and therapy resistance, as well as chronic inflammatory conditions like rheumatoid arthritis.
STAT3 antibodies are widely used in research to detect STAT3 expression, phosphorylation status, and subcellular localization via techniques like Western blot, immunohistochemistry (IHC), immunofluorescence (IF), and flow cytometry. Specific antibodies targeting phosphorylated Y705 or S727 residues help assess activation levels under different experimental or pathological conditions. Additionally, STAT3 antibodies are employed in chromatin immunoprecipitation (ChIP) to study DNA-binding activity and gene regulation. Their applications extend to preclinical studies evaluating STAT3 inhibitors or gene-silencing therapies. However, antibody specificity varies between vendors, requiring validation using knockout controls or peptide blocking. Cross-reactivity with other STAT family members and sensitivity to sample preparation (e.g., fixation methods, phosphatase inhibitors) are critical considerations for accurate interpretation.
×