首页 / 产品 / 抗体 / 一抗

Mouse Monoclonal CDH1 Antibody

  • 中文名: CDH1抗体
  • 别    名: UVO; CDHE; ECAD; LCAM; Arc-1; CD324; CDH1;E-cadherin;E cadherin
货号: IPD30121
Price: ¥1280
数量:
大包装询价

验证与应用

应用及物种
WB 1/500 - 1/2000 Human,Mouse,Monkey
IF 咨询技术 Human,Mouse,Monkey
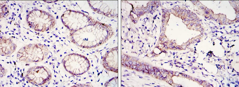
IHC 1/200 - 1/1000 Human,Mouse,Monkey
ICC 技术咨询 Human,Mouse,Monkey
FCM 1/200 - 1/400 Human,Mouse,Monkey
Elisa 1/10000 Human,Mouse,Monkey

产品详情

AliasesUVO; CDHE; ECAD; LCAM; Arc-1; CD324; CDH1;E-cadherin;E cadherin
Entrez GeneID999
clone7H12
WB Predicted band size135kDa
Host/IsotypeMouse IgG1
Antibody TypePrimary antibody
StorageStore at 4°C short term. Aliquot and store at -20°C long term. Avoid freeze/thaw cycles.
Species ReactivityHuman,Mouse,Monkey
ImmunogenPurified recombinant fragment of human CDH1 expressed in E. Coli.
FormulationPurified antibody in PBS with 0.05% sodium azide.

+ +

参考文献

以下是关于CDH1(E-cadherin)抗体的3篇参考文献及其摘要概括:

---

1. **文献名称**:*"Comprehensive molecular characterization of hereditary diffuse gastric cancer"*

**作者**:Guilford, P., et al.

**摘要**:该研究通过免疫组化(使用CDH1抗体)分析了遗传性弥漫性胃癌(HDGC)患者的E-cadherin表达缺失,揭示了CDH1种系突变与E-cadherin蛋白功能丧失的直接关联,强调了CDH1抗体在临床筛查中的诊断价值。

2. **文献名称**:*"E-cadherin’s role in development, tissue homeostasis, and disease"*

**作者**:van Roy, F., Berx, G.

**摘要**:综述总结了E-cadherin在胚胎发育、细胞极性和癌症转移中的作用,重点讨论了利用CDH1抗体检测组织样本中E-cadherin表达异常的实验方法,及其在评估上皮-间质转化(EMT)中的关键意义。

3. **文献名称**:*"Comparative analysis of E-cadherin antibodies for clinical immunohistochemistry in gastric cancer"*

**作者**:Padmanabhan, N., et al.

**摘要**:研究比较了多种商业化CDH1抗体的特异性和敏感性,发现部分抗体在福尔马林固定组织中存在交叉反应性,强调了抗体选择对胃癌患者E-cadherin表达评估准确性的影响,为临床病理标准化提供依据。

---

这些文献覆盖了CDH1抗体在基础研究、临床诊断及方法学优化中的应用场景。如需具体文献年份或期刊,可进一步补充检索条件。

背景信息

The CDH1 antibody targets the protein E-cadherin, encoded by the *CDH1* gene, a key member of the cadherin superfamily of calcium-dependent cell adhesion molecules. E-cadherin is primarily expressed in epithelial tissues, where it plays a critical role in maintaining cell-cell adhesion, tissue integrity, and polarity. It mediates homophilic interactions between adjacent cells, forming adherens junctions that regulate epithelial morphogenesis and barrier function.

In cancer research, CDH1 is recognized as a tumor suppressor. Loss of E-cadherin expression or function is strongly associated with epithelial-mesenchymal transition (EMT), a process enabling cancer cells to acquire invasive and metastatic properties. CDH1 antibodies are widely used in immunohistochemistry (IHC), Western blot (WB), and immunofluorescence (IF) to assess E-cadherin expression levels in normal versus malignant tissues. Reduced or aberrant E-cadherin staining correlates with poor prognosis in carcinomas, including breast, gastric, and colorectal cancers.

CDH1 mutations are linked to hereditary diffuse gastric cancer (HDGC), making CDH1 antibodies essential tools for diagnosing and studying this syndrome. Additionally, these antibodies aid in investigating EMT mechanisms, drug development targeting metastasis, and understanding developmental biology. Variants like phosphorylated or cleaved forms of E-cadherin may also be detected using specific CDH1 antibodies, providing insights into post-translational regulation and disease pathways.

客户数据及评论

折叠内容

大包装询价

×