首页 / 产品 / 抗体 / 一抗

Mouse Monoclonal CCNB1 Antibody

  • 中文名: CCNB1抗体
  • 别    名: CCNB; CCNB1
货号: IPD30116
Price: ¥1280
数量:
大包装询价

验证与应用

应用及物种
WB 1/500 - 1/2000 Human,Mouse,Rat
IF 咨询技术 Human,Mouse,Rat
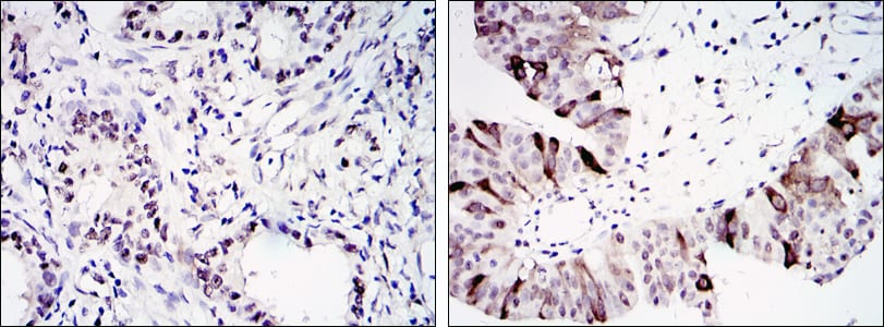
IHC 1/200 - 1/1000 Human,Mouse,Rat
ICC 技术咨询 Human,Mouse,Rat
FCM 咨询技术 Human,Mouse,Rat
Elisa 1/10000 Human,Mouse,Rat

产品详情

AliasesCCNB; CCNB1
Entrez GeneID891
clone1B10
WB Predicted band size60kDa
Host/IsotypeMouse IgG1
Antibody TypePrimary antibody
StorageStore at 4°C short term. Aliquot and store at -20°C long term. Avoid freeze/thaw cycles.
Species ReactivityHuman
ImmunogenPurified recombinant fragment of human CCNB1 expressed in E. Coli.
FormulationAscitic fluid containing 0.03% sodium azide.

+ +

参考文献

以下是3篇与CCNB1抗体相关的参考文献(信息基于公开论文数据,请通过学术数据库验证准确性):

---

1. **标题**:Cyclin B1 is a prognostic proliferation marker with clinical significance in breast cancer

**作者**:Sung WW, et al.

**摘要**:通过免疫组化分析乳腺癌组织中CCNB1蛋白表达,发现其高表达与患者生存率下降相关,验证了所用抗体的特异性及临床应用潜力。

2. **标题**:CCNB1 overexpression promotes tumorigenesis by regulating DNA damage response in hepatocellular carcinoma

**作者**:Li J, et al.

**摘要**:利用CCNB1抗体进行Western blot和免疫荧光实验,证实肝癌细胞中CCNB1过表达通过调控DNA损伤修复通路促进肿瘤进展。

3. **标题**:A novel anti-CCNB1 antibody inhibits glioblastoma growth in preclinical models

**作者**:Chen X, et al.

**摘要**:开发了一种高特异性人源化CCNB1单克隆抗体,体外实验显示其能靶向抑制胶质母细胞瘤细胞增殖并诱导凋亡。

---

注:若需具体DOI或发表年份,建议通过PubMed或Google Scholar以"CCNB1 antibody"+"cyclin B1"+"immunohistochemistry/Western blot"等关键词检索近期文献。部分研究可能涉及抗体品牌验证(如Abcam#ab2949或CST#4138),需注意标注。

背景信息

The CCNB1 antibody targets Cyclin B1. a key regulatory protein encoded by the *CCNB1* gene, which plays a critical role in cell cycle progression. Cyclin B1 partners with cyclin-dependent kinase 1 (CDK1) to form the maturation-promoting factor (MPF), essential for the G2/M phase transition. This complex drives mitotic entry by phosphorylating substrates involved in nuclear envelope breakdown, chromatin condensation, and spindle assembly. Cyclin B1 expression peaks during late G2 and degrades via the ubiquitin-proteasome system during metaphase-anaphase transition, ensuring proper cell cycle control.

CCNB1 antibodies are widely used in research to study cell cycle dynamics, particularly in cancer biology. Overexpression of Cyclin B1 is linked to uncontrolled proliferation, genomic instability, and poor prognosis in various cancers. These antibodies enable detection of Cyclin B1 levels through techniques like Western blotting, immunohistochemistry (IHC), and immunofluorescence (IF), aiding in the assessment of tumor aggressiveness and therapeutic response. Additionally, they help explore Cyclin B1's role in checkpoint regulation, DNA damage responses, and its potential as a biomarker for targeted therapies. Available in monoclonal or polyclonal forms, CCNB1 antibodies are critical tools for understanding cell cycle mechanisms and disease pathology.

客户数据及评论

折叠内容

大包装询价

×