首页 / 产品 / 抗体 / 一抗

Mouse Monoclonal ERBB2 Antibody

  • 中文名: ERBB2抗体
  • 别    名: NEU; HER2; TKR1; CD340; HER-2
货号: IPD30112
Price: ¥1280
数量:
大包装询价

验证与应用

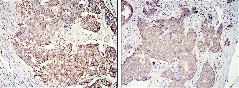
应用及物种
WB 1/500 - 1/2000 Human,Mouse,Rat
IF 咨询技术 Human,Mouse,Rat
IHC 1/200 - 1/1000 Human,Mouse,Rat
ICC 技术咨询 Human,Mouse,Rat
FCM 1/200 - 1/400 Human,Mouse,Rat
Elisa 1/10000 Human,Mouse,Rat

产品详情

AliasesNEU; HER2; TKR1; CD340; HER-2
Entrez GeneID2064
clone6C2
WB Predicted band size180kDa
Host/IsotypeMouse IgG1
Antibody TypePrimary antibody
StorageStore at 4°C short term. Aliquot and store at -20°C long term. Avoid freeze/thaw cycles.
Species ReactivityHuman
ImmunogenPurified recombinant fragment of human ERBB2(aa750-987) expressed in E. Coli.
FormulationPurified antibody in PBS with 0.05% sodium azide.

+ +

参考文献

以下是3-4条关于ERBB2(HER2)抗体的参考文献及简要摘要:

1. **文献名称**:Trastuzumab in the Treatment of HER2-Positive Metastatic Breast Cancer

**作者**:Slamon DJ, et al.

**摘要**:该研究首次证实了抗HER2单抗(曲妥珠单抗)联合化疗在HER2阳性转移性乳腺癌中的疗效,显著延长患者无进展生存期和总生存期,奠定了HER2靶向治疗的基础。

2. **文献名称**:Pertuzumab plus Trastuzumab plus Docetaxel for Metastatic Breast Cancer

**作者**:Baselga J, et al.

**摘要**:该临床试验(CLEOPATRA)证明,帕妥珠单抗(抗HER2单抗)联合曲妥珠单抗和多西他赛可显著改善HER2阳性转移性乳腺癌患者的生存期,确立了双靶向联合治疗的临床价值。

3. **文献名称**:Ado-Trastuzumab Emtansine (T-DM1) versus Lapatinib plus Capecitabine in HER2-Positive Advanced Breast Cancer

**作者**:Verma S, et al.

**摘要**:研究显示,抗体偶联药物T-DM1(曲妥珠单抗联用细胞毒药物emtansine)在HER2阳性晚期乳腺癌中比传统化疗联合拉帕替尼更有效,且安全性更优,推动了ADC药物在HER2治疗中的应用。

4. **文献名称**:Trastuzumab Deruxtecan in HER2-Positive Metastatic Breast Cancer

**作者**:Modi S, et al.

**摘要**:该研究(DESTINY-Breast03)表明,新型抗体偶联药物DS-8201(Enhertu)在HER2阳性转移性乳腺癌中比T-DM1疗效更显著,进一步提升了晚期患者的生存获益,成为二线治疗新标准。

注:以上文献均发表于《新英格兰医学杂志》(NEJM)等顶级期刊,聚焦HER2抗体及其衍生物的临床转化研究。

背景信息

The ERBB2 antibody targets the ERBB2 protein, also known as HER2/neu, a member of the epidermal growth factor receptor (EGFR) tyrosine kinase family. ERBB2 plays a critical role in regulating cell proliferation, survival, and differentiation. In cancers such as breast, gastric, and ovarian, ERBB2 gene amplification or protein overexpression occurs in 15-30% of cases, driving uncontrolled cell growth via activation of downstream signaling pathways (e.g., PI3K/AKT, MAPK). This makes ERBB2 a key therapeutic target.

ERBB2 antibodies are broadly categorized into diagnostic and therapeutic types. Diagnostic antibodies (e.g., immunohistochemistry reagents) detect ERBB2 overexpression in tumor tissues, guiding treatment decisions. Therapeutic monoclonal antibodies, like trastuzumab (Herceptin®) and pertuzumab (Perjeta®), bind to ERBB2’s extracellular domain, inhibiting dimerization, blocking signaling, and inducing antibody-dependent cellular cytotoxicity (ADCC). These therapies have significantly improved outcomes in ERBB2-positive cancers, particularly breast cancer.

Trastuzumab, the first FDA-approved ERBB2-targeted antibody (1998), revolutionized precision oncology. Newer antibody-drug conjugates (ADCs), such as trastuzumab emtansine (T-DM1) and trastuzumab deruxtecan (T-DXd), combine ERBB2 targeting with cytotoxic payloads, enhancing efficacy in resistant tumors. Research continues to address resistance mechanisms and expand applications to other ERBB2-altered cancers. ERBB2 antibodies exemplify the integration of molecular diagnostics and targeted therapy in modern oncology.

客户数据及评论

折叠内容

大包装询价

×