首页 / 产品 / 抗体 / 一抗

Mouse Monoclonal ESR1 Antibody

  • 中文名: ESR1抗体
  • 别    名: ER; ESR; Era; ESRA; NR3A1; DKFZp686N23123; ESR1
货号: IPD30099
Price: ¥1280
数量:
大包装询价

验证与应用

应用及物种
WB 1/500 - 1/2000 Human,Mouse,Rat
IF 咨询技术 Human,Mouse,Rat
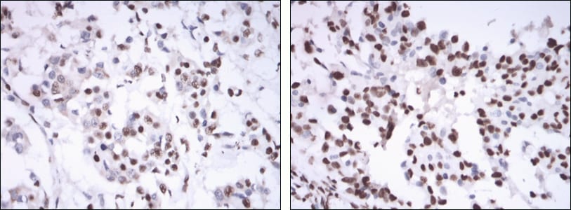
IHC 1/200 - 1/1000 Human,Mouse,Rat
ICC 1/200 - 1/1000 Human,Mouse,Rat
FCM 咨询技术 Human,Mouse,Rat
Elisa 1/10000 Human,Mouse,Rat

产品详情

AliasesER; ESR; Era; ESRA; NR3A1; DKFZp686N23123; ESR1
Entrez GeneID2099
clone6B6
WB Predicted band size66kDa
Host/IsotypeMouse IgG1
Antibody TypePrimary antibody
StorageStore at 4°C short term. Aliquot and store at -20°C long term. Avoid freeze/thaw cycles.
Species ReactivityHuman
ImmunogenPurified recombinant fragment of human ESR1 expressed in E. Coli.
FormulationPurified antibody in PBS with 0.05% sodium azide.

+ +

参考文献

以下是关于ESR1抗体的3篇参考文献及其简要摘要:

1. **"Estrogen receptor alpha (ESR1) mutation in breast cancer"**

- **作者**: Jeselsohn R, et al.

- **摘要**: 该研究通过免疫组化(IHC)和基因测序技术,分析了转移性乳腺癌患者中ESR1基因突变(如Y537S/D538G)与内分泌治疗耐药的关系,并探讨了特定ESR1抗体在检测突变蛋白表达中的应用。

2. **"Comparison of different anti-ESR1 antibodies for immunohistochemical analysis of breast cancer"**

- **作者**: Mann S, et al.

- **摘要**: 研究对比了多种商业化的ESR1抗体(如克隆号SP1、1D5)在乳腺癌组织中的免疫组化检测效果,发现不同抗体在敏感性和特异性上存在差异,建议根据临床需求选择合适抗体。

3. **"Phosphorylation of estrogen receptor alpha at serine 118 modulates response to tamoxifen"**

- **作者**: Yamashita H, et al.

- **摘要**: 利用特异性ESR1磷酸化抗体(如抗pS118-ESR1),揭示了ERα在丝氨酸118位点的磷酸化状态与他莫昔芬治疗反应的相关性,为预测乳腺癌患者疗效提供了新思路。

4. **"A coregulator shift in ESR1 antibody-defined phenotypes influences prognosis in breast cancer"**

- **作者**: Hsu YH, et al.

- **摘要**: 通过ESR1抗体结合共调节蛋白分析,提出ERα阳性乳腺癌中存在不同分子亚型,这些亚型在预后和治疗靶向策略中具有显著异质性。

这些文献涵盖了ESR1抗体在突变检测、诊断一致性、翻译后修饰分析及分子分型中的关键应用。

背景信息

The estrogen receptor alpha (ESR1), a member of the nuclear receptor superfamily, mediates estrogen signaling and regulates gene expression involved in cell proliferation, differentiation, and homeostasis. As a ligand-activated transcription factor, ESR1 binds estrogen, undergoes conformational changes, and interacts with DNA response elements or other transcription factors to modulate target genes. It contains two critical domains: a DNA-binding domain and a ligand-binding domain. Dysregulation of ESR1 is implicated in hormone-dependent cancers, particularly breast cancer, where ESR1-positive tumors account for ~70% of cases and guide therapeutic strategies like endocrine therapy (e.g., tamoxifen, aromatase inhibitors).

ESR1 antibodies are essential tools for research and diagnostics. They detect ESR1 expression in tissues (e.g., immunohistochemistry for breast cancer subtyping), assess receptor status in clinical samples, and study molecular mechanisms in diseases. Common applications include Western blotting, immunofluorescence, and chromatin immunoprecipitation (ChIP). Antibodies targeting specific ESR1 epitopes (e.g., phosphorylated residues) help investigate post-translational modifications linked to therapy resistance. Clinically, ESR1 mutations (e.g., Y537S, D538G) are biomarkers for endocrine resistance, and antibodies aid in detecting these variants. Recent advancements include highly specific monoclonal antibodies for improved diagnostic accuracy and research reproducibility. However, variability in antibody performance underscores the need for rigorous validation in experimental and clinical settings.

客户数据及评论

折叠内容

大包装询价

×