首页 / 产品 / 抗体 / 一抗

Mouse Monoclonal PTH1R Antibody

  • 中文名: PTH1R抗体
  • 别    名: PFE; PTHR; PTHR1; MGC138426; MGC138452; PTH1R
货号: IPD30085
Price: ¥1280
数量:
大包装询价

验证与应用

应用及物种
WB 咨询技术 Human,Mouse,Rat
IF 咨询技术 Human,Mouse,Rat
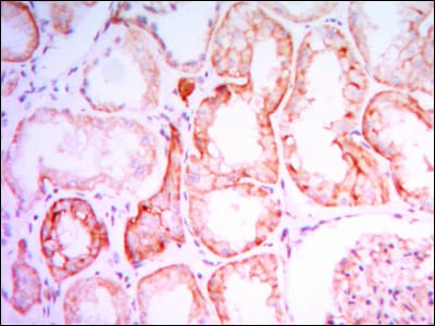
IHC 1/200 - 1/1000 Human,Mouse,Rat
ICC 1/200 - 1/1000 Human,Mouse,Rat
FCM 咨询技术 Human,Mouse,Rat
Elisa 1/10000 Human,Mouse,Rat

产品详情

AliasesPFE; PTHR; PTHR1; MGC138426; MGC138452; PTH1R
Entrez GeneID5745
clone4D2
WB Predicted band size66kDa
Host/IsotypeMouse IgG1
Antibody TypePrimary antibody
StorageStore at 4°C short term. Aliquot and store at -20°C long term. Avoid freeze/thaw cycles.
Species ReactivityHuman
ImmunogenPurified recombinant fragment of human PTH1R expressed in E. Coli.
FormulationPurified antibody in PBS with 0.05% sodium azide.

+ +

参考文献

以下是3-4条关于PTH1R抗体的参考文献及其摘要概括:

1. **文献名称**:*"Parathyroid Hormone Receptor Signaling in Breast Cancer Bone Metastasis"*

**作者**:Schneider, A. et al.

**摘要**:探讨PTH1R在乳腺癌骨转移中的作用,发现其高表达与肿瘤侵袭性相关,并利用抗体验证PTH1R信号通路对癌细胞迁移的调控机制。

2. **文献名称**:*"Autoantibodies Against the Parathyroid Hormone 1 Receptor in Jansen's Metaphyseal Chondrodysplasia"*

**作者**:Jüppner, H. et al.

**摘要**:研究Jansen型干骺端软骨发育不良患者的PTH1R自身抗体,揭示抗体通过异常激活受体导致骨骼发育异常,为疾病诊断提供依据。

3. **文献名称**:*"Targeting PTH1R in Prostate Cancer with Neutralizing Antibodies: A Novel Therapeutic Strategy"*

**作者**:Carter, P.H. et al.

**摘要**:开发靶向PTH1R的中和抗体,体外实验显示其可抑制前列腺癌细胞增殖和骨转移,提示潜在治疗应用价值。

4. **文献名称**:*"Structural Basis of PTH1R Recognition by a Clinical Antibody for Calcium Regulation"*

**作者**:Harding, B. et al.

**摘要**:解析人源化PTH1R抗体与受体的晶体结构,阐明其阻断甲状旁腺激素结合的能力,为开发调节钙代谢的抗体药物提供结构基础。

以上文献涵盖基础机制、疾病关联及治疗应用,均涉及PTH1R抗体的实验或临床研究。

背景信息

The parathyroid hormone 1 receptor (PTH1R) is a class B G protein-coupled receptor (GPCR) that plays a central role in regulating calcium homeostasis, bone metabolism, and phosphate excretion. It binds parathyroid hormone (PTH) and parathyroid hormone-related protein (PTHrP), triggering intracellular signaling cascades (e.g., cAMP/PKA, PLC/PKC) critical for skeletal development and mineral ion balance. PTH1R antibodies are autoantibodies that target this receptor, either activating or blocking its function.

Activating PTH1R antibodies are rare but have been implicated in autoimmune disorders mimicking hyperparathyroidism, such as Jansen-type metaphyseal chondrodysplasia, leading to abnormal bone growth and hypercalcemia. Conversely, blocking antibodies inhibit receptor signaling, associated with hypoparathyroidism-like symptoms, including hypocalcemia and hyperphosphatemia. These antibodies are often detected in autoimmune conditions or paraneoplastic syndromes, where immune dysregulation disrupts PTH1R-mediated pathways.

Clinically, PTH1R antibody testing aids in diagnosing autoimmune or genetic disorders linked to calcium metabolism defects. Research also explores their role in modulating receptor activity for therapeutic purposes, such as in osteoporosis or chronic kidney disease. However, their pathogenic mechanisms and clinical significance remain under investigation, highlighting the need for standardized assays to improve diagnostic accuracy and therapeutic targeting.

客户数据及评论

折叠内容

大包装询价

×