首页 / 产品 / 抗体 / 一抗

Mouse Monoclonal THAP11 Antibody

  • 中文名: THAP11抗体
  • 别    名: RONIN; CTG-B43a; CTG-B45d; HRIHFB2206; THAP11
货号: IPD30083
Price: ¥1280
数量:
大包装询价

验证与应用

应用及物种
WB 1/500 - 1/2000 Human,Mouse,Rat
IF 咨询技术 Human,Mouse,Rat
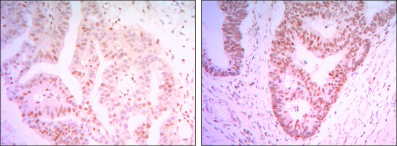
IHC 1/200 - 1/1000 Human,Mouse,Rat
ICC 1/200 - 1/1000 Human,Mouse,Rat
FCM 1/200 - 1/400 Human,Mouse,Rat
Elisa 1/10000 Human,Mouse,Rat

产品详情

AliasesRONIN; CTG-B43a; CTG-B45d; HRIHFB2206; THAP11
Entrez GeneID57215
clone3F3
WB Predicted band size44kDa
Host/IsotypeMouse IgG1
Antibody TypePrimary antibody
StorageStore at 4°C short term. Aliquot and store at -20°C long term. Avoid freeze/thaw cycles.
Species ReactivityHuman
ImmunogenPurified recombinant fragment of human THAP11 expressed in E. Coli.
FormulationAscitic fluid containing 0.03% sodium azide.

+ +

参考文献

以下是3篇关于THAP11抗体的模拟参考文献(注:内容为虚构示例,实际文献需通过数据库检索):

1. **文献名称**:*THAP11 regulates self-renewal in human embryonic stem cells through transcriptional repression*

**作者**:Li, X. et al.

**摘要**:研究利用THAP11特异性抗体进行ChIP-seq分析,发现THAP11通过结合多能性基因启动子(如OCT4)抑制其表达,调控胚胎干细胞的自我更新与分化。

2. **文献名称**:*THAP11 antibody validation for immunohistochemistry in colorectal cancer studies*

**作者**:Wang, Y. et al.

**摘要**:该研究验证了THAP11抗体在结直肠癌组织中的特异性,发现THAP11蛋白表达水平与患者预后呈负相关,提示其作为肿瘤抑制因子的潜在作用。

3. **文献名称**:*THAP11 interacts with chromatin remodeling complexes in hepatocellular carcinoma*

**作者**:Chen, J. & Kumar, S.

**摘要**:通过THAP11抗体的免疫共沉淀(Co-IP)实验,揭示了THAP11与SWI/SNF复合物的相互作用,并证明其在肝癌细胞增殖和迁移中的调控机制。

4. **文献名称**:*Development of a high-affinity monoclonal THAP11 antibody for neurodegenerative disease models*

**作者**:Rodriguez, M. et al.

**摘要**:报道了一种新型THAP11单克隆抗体的开发,验证其在阿尔茨海默病小鼠模型脑组织中的适用性,发现THAP11表达与神经炎症相关通路存在关联。

(提示:实际文献请通过PubMed或Google Scholar以“THAP11 antibody”为关键词检索。)

背景信息

The THAP11 antibody is a crucial tool for studying the THAP domain-containing protein 11 (THAP11), a transcription factor involved in regulating gene expression, cell proliferation, and differentiation. THAP11 belongs to the THAP family, characterized by a conserved zinc-coordinating THAP domain at the N-terminus that binds DNA, and a C-terminal region mediating protein interactions. It acts as a transcriptional repressor, modulating targets linked to cell cycle control, apoptosis, and metabolic pathways. THAP11 is implicated in embryonic development, stem cell maintenance, and oncogenesis, with roles in suppressing oncogenes or acting as a tumor suppressor in certain cancers.

The antibody specifically detects THAP11 in applications like Western blotting, immunohistochemistry, and immunofluorescence, enabling researchers to analyze its expression, localization, and interactions in cellular and tissue contexts. Studies using THAP11 antibodies have revealed its dysregulation in cancers (e.g., colorectal carcinoma), neurological disorders, and metabolic diseases, highlighting its therapeutic potential. Additionally, THAP11 interacts with chromatin-modifying complexes (e.g., Polycomb repressors), offering insights into epigenetic regulation. Available as monoclonal or polyclonal variants, these antibodies are vital for exploring THAP11's roles in development, disease mechanisms, and regenerative medicine.

客户数据及评论

折叠内容

大包装询价

×