首页 / 产品 / 抗体 / 一抗

Mouse Monoclonal ALPP Antibody

  • 中文名: ALPP抗体
  • 别    名: ALP; PALP; PLAP; FLJ61142; ALPP
货号: IPD30061
Price: ¥1280
数量:
大包装询价

验证与应用

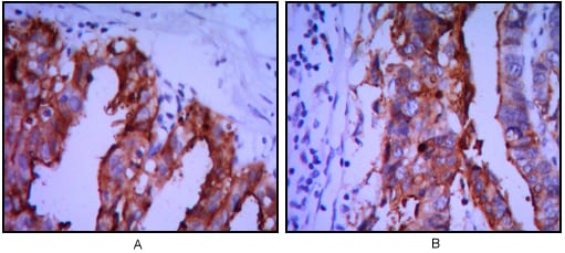
应用及物种
WB 1/500 - 1/2000 Human,Mouse,Rat
IF 咨询技术 Human,Mouse,Rat
IHC 1/200 - 1/1000 Human,Mouse,Rat
ICC 技术咨询 Human,Mouse,Rat
FCM 咨询技术 Human,Mouse,Rat
Elisa 1/10000 Human,Mouse,Rat

产品详情

AliasesALP; PALP; PLAP; FLJ61142; ALPP
Entrez GeneID250
clone3E5
WB Predicted band size58kDa
Host/IsotypeMouse IgG2b
Antibody TypePrimary antibody
StorageStore at 4°C short term. Aliquot and store at -20°C long term. Avoid freeze/thaw cycles.
Species ReactivityHuman
ImmunogenPurified recombinant fragment of human ALPP expressed in E. Coli.  
FormulationPurified antibody in PBS with 0.05% sodium azide.

+ +

参考文献

以下是关于ALPP(胎盘型碱性磷酸酶,PLAP)抗体的3篇参考文献及其摘要:

1. **文献名称**:*Placental alkaline phosphatase as a tumor marker for seminoma*

**作者**:W.H. Fishman, J. Inglis, S. Green et al.

**摘要**:该研究探讨了PLAP在精原细胞瘤中的特异性表达,验证了其作为血清标志物的潜力,并开发了基于抗体的免疫检测方法,显著提升了生殖细胞肿瘤的诊断准确性。

2. **文献名称**:*Monoclonal antibodies to placental alkaline phosphatase: Immunohistochemical studies in ovarian cancer*

**作者**:A.A. Epenetos, D. Snook, H. Durbin et al.

**摘要**:报道了高特异性PLAP单克隆抗体的开发,通过免疫组化证实其在卵巢癌组织中的高表达,为肿瘤靶向诊断及治疗提供了新工具。

3. **文献名称**:*Expression of placental alkaline phosphatase in gastric and colorectal cancers*

**作者**:S. Kamoshida, T. Matsuoka, M. Matsuoka et al.

**摘要**:研究发现部分胃肠道癌中PLAP异常表达,利用抗体检测揭示其与肿瘤分期的关联,提示PLAP可能作为消化道肿瘤的补充诊断标志物。

这些文献涵盖了PLAP抗体在肿瘤诊断中的开发与应用,突出了其在提升检测特异性及临床研究中的价值。

背景信息

**Background of ALPP Antibody**

The ALPP (Alkaline Phosphatase, Placental-Like) antibody targets the placental alkaline phosphatase (PLAP), a member of the alkaline phosphatase (ALP) enzyme family. ALPP is a glycosylphosphatidylinositol (GPI)-anchored membrane protein encoded by the *ALPP* gene located on chromosome 2q37.1. Normally expressed in placental trophoblasts during pregnancy, ALPP plays a role in nutrient transport and cell differentiation. However, its ectopic expression is observed in various cancers, including germ cell tumors, ovarian carcinomas, and seminomas, making it a valuable biomarker for diagnostic and research applications.

ALPP antibodies are widely used in immunohistochemistry (IHC) to detect PLAP in tissue samples, aiding in the identification of germ cell tumors and monitoring disease progression. They also serve as tools in ELISA, Western blotting, and flow cytometry to study ALPP expression patterns and regulatory mechanisms. Notably, ALPP shares structural homology with other ALP isoforms (e.g., intestinal or tissue-nonspecific ALP), necessitating specific antibodies to ensure detection accuracy.

Research on ALPP antibodies continues to explore their therapeutic potential, such as targeting ALPP-positive cancer cells with antibody-drug conjugates. Challenges include addressing cross-reactivity and optimizing specificity for clinical use. Overall, ALPP antibodies remain critical in both diagnostic pathology and experimental oncology.

客户数据及评论

折叠内容

大包装询价

×