首页 / 产品 / 抗体 / 一抗

Mouse Monoclonal EPCAM Antibody

  • 中文名: EPCAM抗体
  • 别    名: ESA; KSA; M4S1; MK-1; DIAR5; EGP-2;EGP40; KS1/4; MIC18; TROP1; TACSTD1; EPCAM
货号: IPD30049
Price: ¥1280
数量:
大包装询价

验证与应用

应用及物种
WB 1/500 - 1/2000 Human,Mouse,Rat
IF 咨询技术 Human,Mouse,Rat
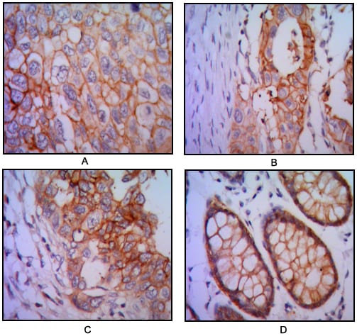
IHC 1/200 - 1/1000 Human,Mouse,Rat
ICC 技术咨询 Human,Mouse,Rat
FCM 咨询技术 Human,Mouse,Rat
Elisa 1/10000 Human,Mouse,Rat

产品详情

AliasesESA; KSA; M4S1; MK-1; DIAR5; EGP-2;EGP40; KS1/4; MIC18; TROP1; TACSTD1; EPCAM
Entrez GeneID4072
clone7E11
WB Predicted band size35kDa
Host/IsotypeMouse IgG1
Antibody TypePrimary antibody
StorageStore at 4°C short term. Aliquot and store at -20°C long term. Avoid freeze/thaw cycles.
Species ReactivityHuman
ImmunogenPurified recombinant fragment of human EPCAM expressed in E. Coli.  
FormulationPurified antibody in PBS with 0.05% sodium azide.

+ +

参考文献

以下是关于EPCAM抗体的3篇代表性文献(信息基于公开研究整理):

---

1. **文献名称**:*EpCAM in carcinogenesis: the good, the bad or the ugly*

**作者**:Trzpis M, et al.

**摘要**:该综述系统分析了EPCAM(上皮细胞粘附分子)在肿瘤发生中的双重作用,包括其在维持上皮细胞完整性中的生理功能,以及过表达时促进肿瘤转移的机制。同时探讨了EPCAM抗体在癌症诊断(如免疫组化标记)和治疗中的潜在应用。

---

2. **文献名称**:*Detection and characterization of circulating tumor cells using the CellSearch system*

**作者**:Allard WJ, et al.

**摘要**:研究验证了基于EPCAM抗体的CellSearch技术,用于富集和检测血液中的循环肿瘤细胞(CTC)。结果显示,EPCAM抗体能特异性识别上皮来源的肿瘤细胞,为转移性乳腺癌、结直肠癌等提供预后评估工具。

---

3. **文献名称**:*Targeting EpCAM with a Bispecific Antibody to Redirect T Cells for Cancer Therapy*

**作者**:Dreier T, et al.

**摘要**:开发了一种双特异性抗体(EpCAM×CD3),通过结合肿瘤细胞表面的EPCAM和T细胞的CD3分子,引导T细胞靶向杀伤EpCAM阳性肿瘤细胞。临床前实验显示其在卵巢癌和胰腺癌模型中的显著抗肿瘤活性。

---

**备注**:如需具体引用格式或更多文献,建议通过PubMed或Google Scholar检索关键词“EpCAM antibody”、“EpCAM cancer therapy”获取最新研究。

背景信息

The epithelial cell adhesion molecule (EpCAM), also known as CD326. is a transmembrane glycoprotein primarily expressed on the basolateral surface of epithelial cells. It plays a critical role in cell-cell adhesion, proliferation, and differentiation. EpCAM is overexpressed in many epithelial-derived cancers, including colorectal, breast, and ovarian cancers, making it a valuable biomarker for tumor detection and therapeutic targeting.

EpCAM antibodies are widely used in research and diagnostics to identify epithelial cells and their malignant counterparts. In immunohistochemistry (IHC) and flow cytometry, these antibodies help distinguish epithelial-derived tumors from non-epithelial tissues. They are also instrumental in isolating circulating tumor cells (CTCs) from blood samples, aiding in cancer prognosis and monitoring.

Therapeutically, EpCAM-targeting antibodies have been explored in oncology. Examples include catumaxomab (a bispecific antibody) and antibody-drug conjugates (ADCs) that deliver cytotoxic agents directly to EpCAM-positive cancer cells. However, variable EpCAM expression across tumors and potential off-target effects in normal tissues pose challenges. Recent advances focus on engineering high-affinity humanized antibodies and combination therapies to enhance specificity and efficacy.

Overall, EpCAM antibodies remain pivotal tools in cancer research, diagnostics, and emerging immunotherapies, bridging translational applications from bench to bedside.

客户数据及评论

折叠内容

大包装询价

×