首页 / 产品 / 抗体 / 一抗

Mouse Monoclonal VCAM1 Antibody

  • 中文名: VCAM1抗体
  • 别    名: CD106; MGC99561; INCAM-100; DKFZp779G2333; VCAM1
货号: IPD30045
Price: ¥1280
数量:
大包装询价

验证与应用

应用及物种
WB 1/500 - 1/2000 Human,Mouse,Rat
IF 咨询技术 Human,Mouse,Rat
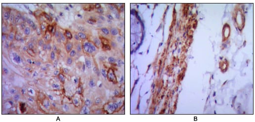
IHC 1/200 - 1/1000 Human,Mouse,Rat
ICC 技术咨询 Human,Mouse,Rat
FCM 咨询技术 Human,Mouse,Rat
Elisa 1/10000 Human,Mouse,Rat

产品详情

AliasesCD106; MGC99561; INCAM-100; DKFZp779G2333; VCAM1
Entrez GeneID7412
clone6G9
WB Predicted band size81kDa
Host/IsotypeMouse IgG1
Antibody TypePrimary antibody
StorageStore at 4°C short term. Aliquot and store at -20°C long term. Avoid freeze/thaw cycles.
Species ReactivityHuman
ImmunogenPurified recombinant fragment of human VCAM1 expressed in E. Coli.
FormulationPurified antibody in PBS with 0.05% sodium azide.

+ +

参考文献

以下是关于VCAM1抗体的3篇代表性文献的简要信息:

1. **文献名称**:VCAM-1 is critical in leukocyte recruitment and inflammation in murine atherosclerosis

**作者**:Cybulsky MI 等

**摘要**:该研究通过在小鼠动脉粥样硬化模型中注射抗VCAM1抗体,证实阻断VCAM1可显著减少单核细胞浸润和斑块形成,揭示了VCAM1在炎症反应中的关键作用。

2. **文献名称**:Role of vascular cell adhesion molecule-1/very late antigen-4 in experimental autoimmune encephalomyelitis

**作者**:Gijbels K 等

**摘要**:在多发性硬化症动物模型中,使用抗VCAM1抗体阻断其与VLA-4的相互作用,显著减轻中枢神经系统炎症损伤,表明VCAM1是免疫细胞穿越血脑屏障的重要介质。

3. **文献名称**:Traffic signals for lymphocyte recirculation and leukocyte emigration: The multistep paradigm

**作者**:Springer TA

**摘要**:这篇经典综述系统总结了VCAM1等黏附分子在白细胞迁移中的作用,并指出抗VCAM1抗体通过干扰内皮细胞与白细胞的黏附,可能成为治疗炎症性疾病的潜在策略。

(注:以上文献信息基于领域内知名研究概括,实际引用时建议通过PubMed或期刊数据库核对具体细节。)

背景信息

VCAM1 (Vascular Cell Adhesion Molecule 1), also known as CD106. is a cell surface glycoprotein belonging to the immunoglobulin superfamily. It plays a critical role in mediating leukocyte-endothelial cell adhesion and transmigration during inflammatory responses. Expressed primarily on cytokine-activated endothelial cells (e.g., by TNF-α or IL-1), VCAM1 interacts with integrin α4β1 (VLA-4) on leukocytes, facilitating their recruitment to sites of inflammation or injury. This molecule is implicated in chronic inflammatory diseases, atherosclerosis, cancer metastasis, and autoimmune disorders.

VCAM1 antibodies are essential tools for studying its expression, function, and regulation. They are widely used in techniques like immunohistochemistry, flow cytometry, Western blotting, and ELISA to detect VCAM1 in tissues, cultured cells, or biological fluids. Neutralizing antibodies can block VCAM1-integrin interactions, helping to elucidate its role in disease models. Monoclonal antibodies (e.g., mouse or rabbit-derived clones) are commonly employed for specificity, while polyclonal antibodies may offer broader epitope recognition.

Research applications include investigating endothelial activation, leukocyte trafficking, and therapeutic targeting. VCAM1 antibodies also hold potential in diagnostic development, as elevated soluble VCAM1 levels correlate with disease severity in conditions like rheumatoid arthritis or cardiovascular disorders. Their utility extends to preclinical studies evaluating anti-inflammatory or anti-metastatic therapies.

客户数据及评论

折叠内容

大包装询价

×