首页 / 产品 / 抗体 / 一抗

Mouse Monoclonal HSPA5 Antibody

  • 中文名: HSPA5抗体
  • 别    名: BIP; MIF2; GRP78; FLJ26106; HSPA5
货号: IPD30028
Price: ¥1280
数量:
大包装询价

验证与应用

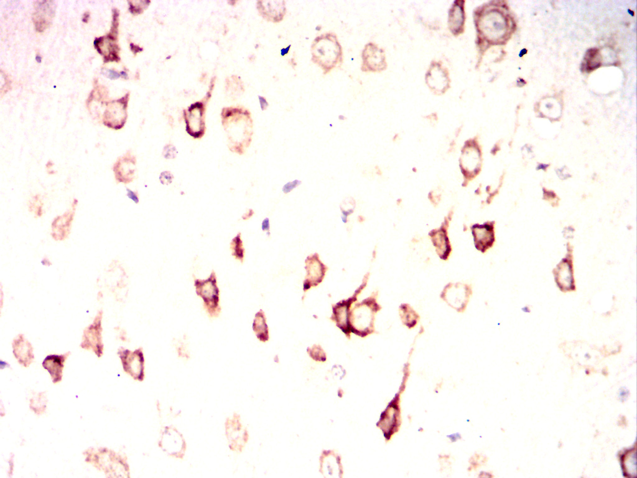
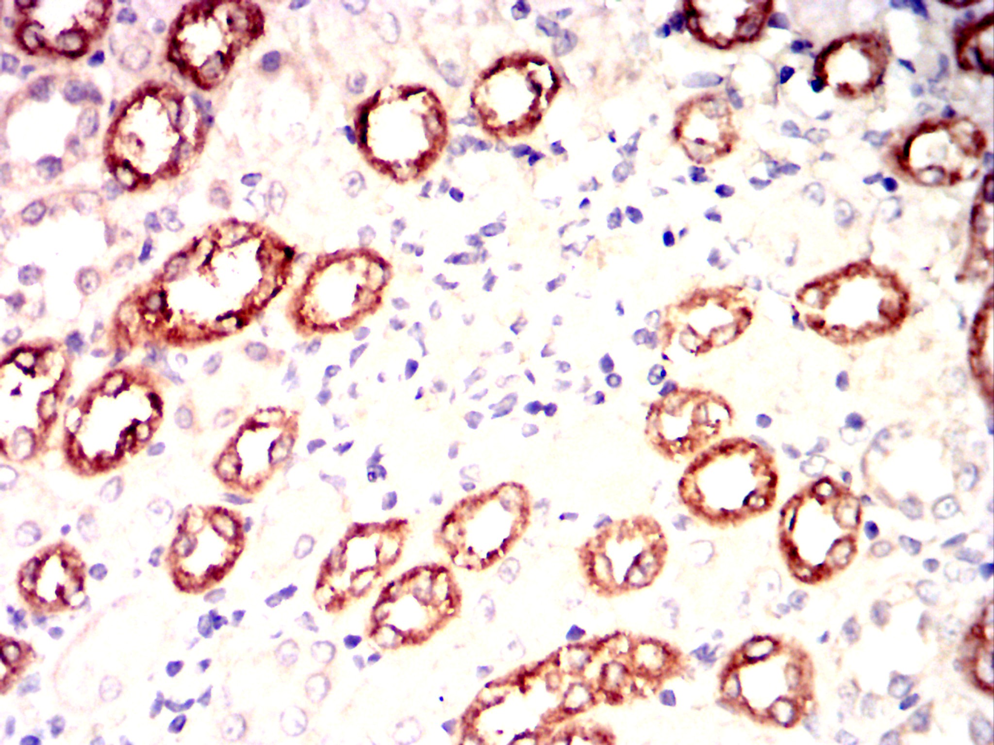
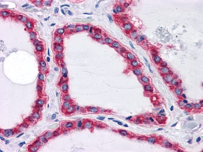
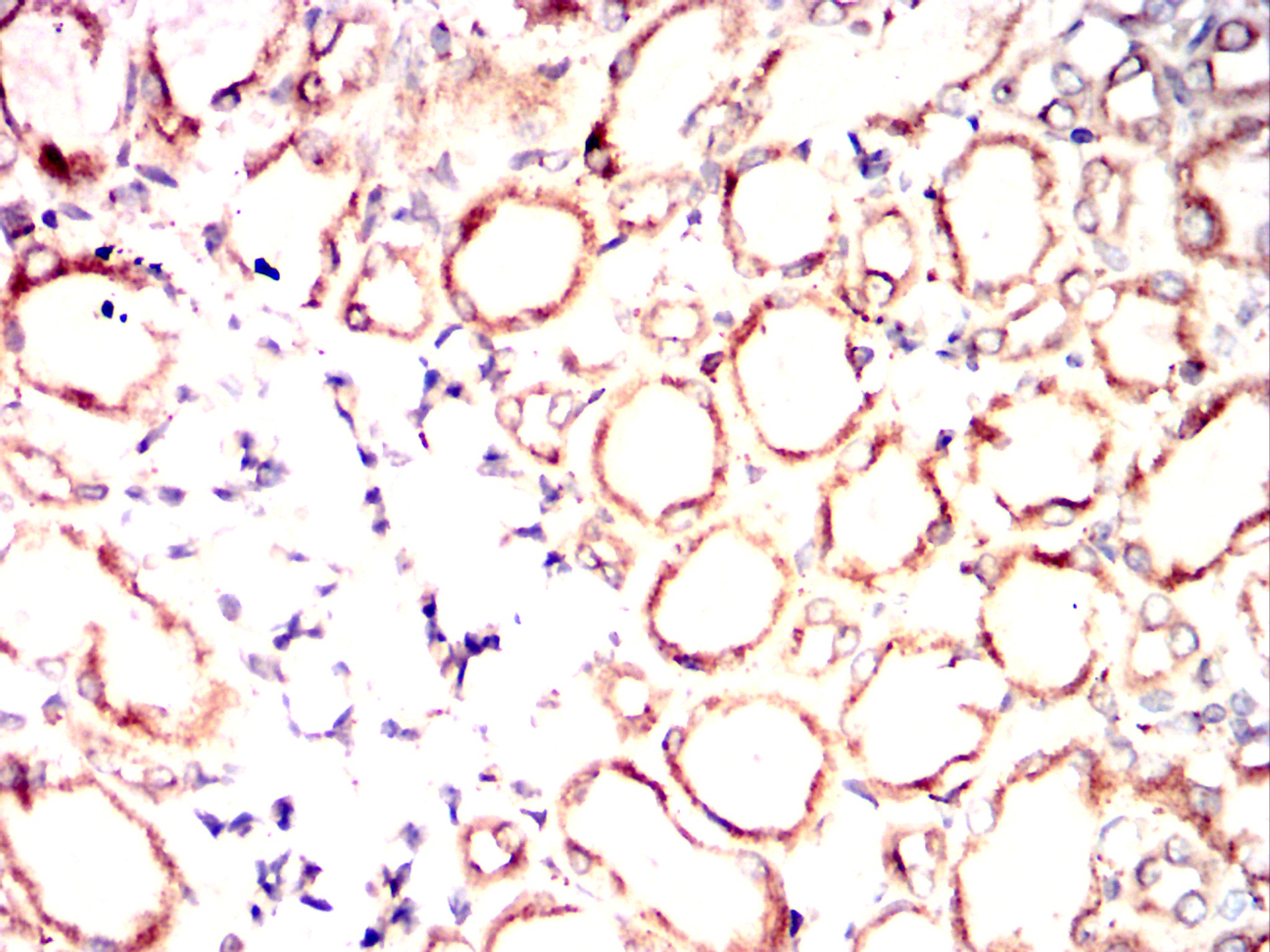
应用及物种
WB 1/500 - 1/2000 Human,Mouse,Rat,Rabbit
IF 咨询技术 Human,Mouse,Rat,Rabbit
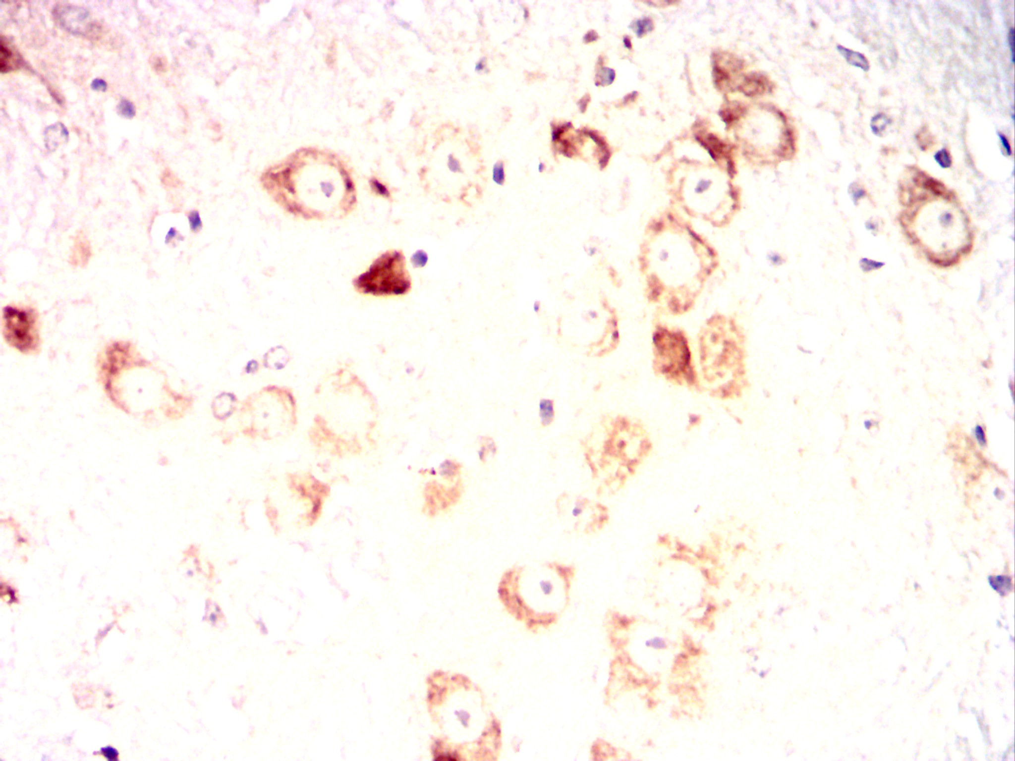
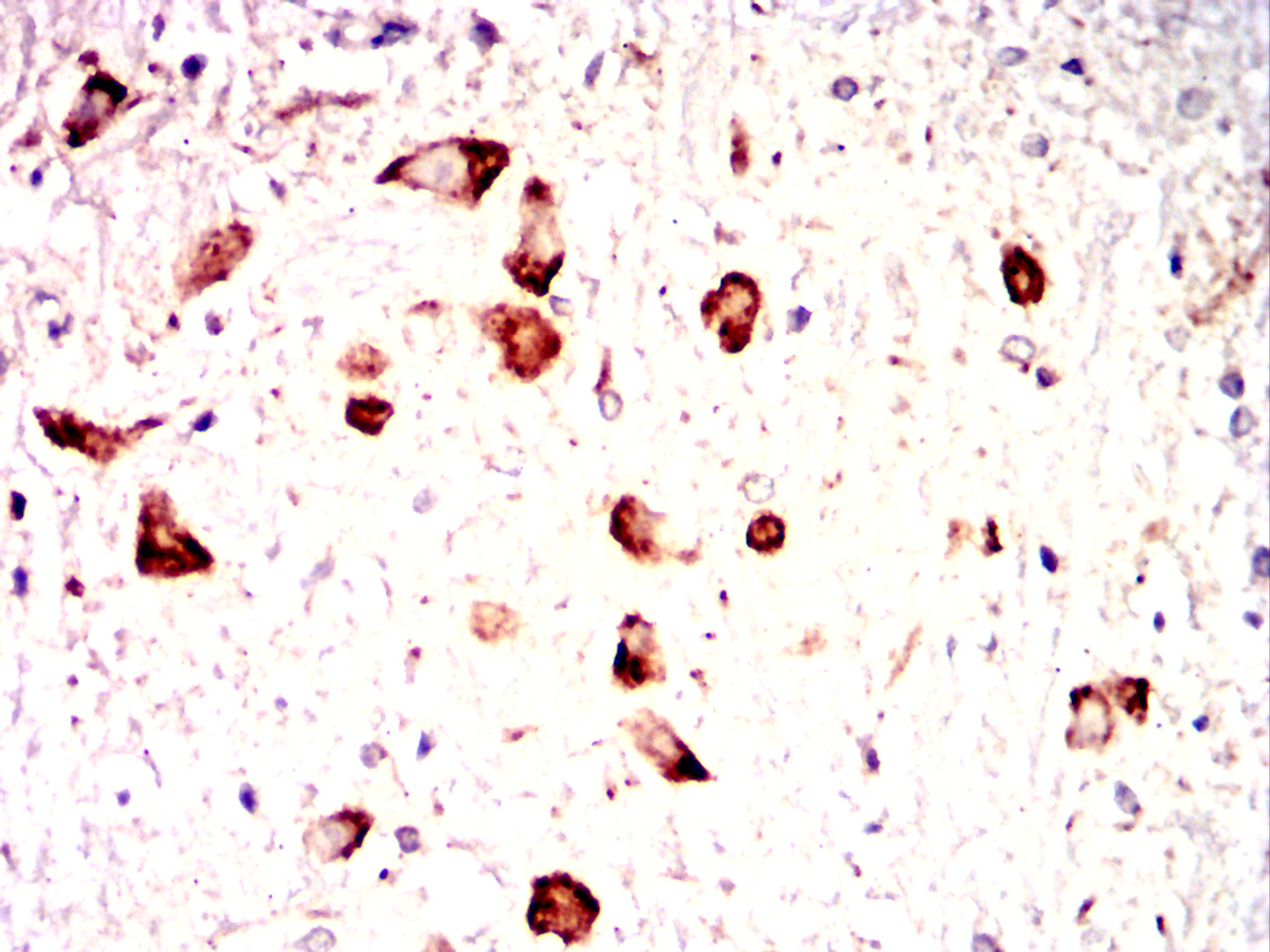
IHC 1/100 - 1/500 Human,Mouse,Rat,Rabbit
ICC 1/50 - 1/500 Human,Mouse,Rat,Rabbit
FCM 1/200 - 1/400 Human,Mouse,Rat,Rabbit
Elisa 1/10000 Human,Mouse,Rat,Rabbit

产品详情

AliasesBIP; MIF2; GRP78; FLJ26106; HSPA5
Entrez GeneID3309
clone4E3
WB Predicted band size78kDa
Host/IsotypeMouse IgG1
Antibody TypePrimary antibody
StorageStore at 4°C short term. Aliquot and store at -20°C long term. Avoid freeze/thaw cycles.
Species ReactivityHuman,Mouse,Rat,Monkey,Rabbit
ImmunogenPurified recombinant fragment of human HSPA5 expressed in E. Coli.
FormulationPurified antibody in PBS with 0.05% sodium azide.

+ +

参考文献

以下是关于HSPA5(GRP78/BiP)抗体的3篇代表性文献摘要概括:

1. **文献名称**: *HSPA5 Promotes Tumor Metastasis via EMT and CSC Phenotypes*

**作者**: Li Z, et al.

**摘要**: 研究利用HSPA5抗体进行免疫组化分析,发现HSPA5在乳腺癌组织中高表达,并通过调控上皮间质转化(EMT)和肿瘤干细胞(CSC)特性促进转移,提示其作为预后标志物的潜力。

2. **文献名称**: *GRP78 Antibody Modulates Unfolded Protein Response in Neurodegeneration*

**作者**: Wang M, et al.

**摘要**: 通过Western blot和免疫荧光实验,发现HSPA5抗体可检测阿尔茨海默病模型中内质网应激激活的GRP78.揭示其与Tau蛋白异常磷酸化的关联,为治疗靶点提供依据。

3. **文献名称**: *HSPA5 as a Viral Entry Mediator in COVID-19 Pathogenesis*

**作者**: Ibrahim IM, et al.

**摘要**: 研究利用HSPA5特异性抗体阻断实验,证明SARS-CoV-2刺突蛋白与宿主细胞GRP78结合,促进病毒内化,提示抑制该互作可能成为抗病毒策略。

注:以上为示例性内容,实际文献需通过PubMed/Google Scholar检索关键词(如“HSPA5 antibody application”)获取,建议补充具体研究领域(如癌症、病毒、神经疾病)以缩小范围。

背景信息

HSPA5. also known as GRP78 or BiP, is a member of the heat shock protein 70 (HSP70) family primarily localized in the endoplasmic reticulum (ER). As a molecular chaperone, it plays a critical role in protein folding, quality control, and the unfolded protein response (UPR) during ER stress. HSPA5 binds to nascent polypeptides, facilitates their proper assembly, and targets misfolded proteins for degradation. Its expression is upregulated under stress conditions, such as hypoxia, nutrient deprivation, or chemical toxicity, to maintain cellular homeostasis.

HSPA5 antibodies are essential tools for studying its involvement in diseases. Dysregulation of HSPA5 is linked to cancer, neurodegenerative disorders (e.g., Alzheimer’s, Parkinson’s), and viral infections. In cancer, elevated HSPA5 levels correlate with tumor progression, drug resistance, and poor prognosis, as it promotes cell survival under stress. In neurodegeneration, impaired HSPA5 function exacerbates protein aggregation. Additionally, HSPA5 serves as a receptor for some viruses, facilitating their entry into cells.

Researchers use HSPA5 antibodies in techniques like Western blotting, immunohistochemistry, and immunofluorescence to quantify protein expression, assess ER stress activation, or explore subcellular localization. These antibodies also aid in evaluating therapeutic strategies targeting HSPA5 to modulate stress pathways or inhibit pathogen interactions. Understanding HSPA5's dual roles in proteostasis and disease highlights its potential as a diagnostic marker or therapeutic target.

客户数据及评论

折叠内容

大包装询价

×